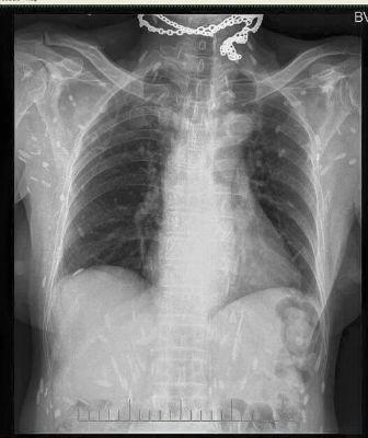
Rùng mình trước hình X - quang của người mê... ăn sống
Mấy ngày gần đây, cộng đồng mạng chia sẻ các bức ảnh chụp X-quang rất khủng khiếp của một bệnh nhân nhiễm sán. Theo đó, trên các bức ảnh X-quang là la liệt các xác sán xơ mít có đầu vôi hóa hình như hạt gạo. Theo các bác sĩ, nguyên nhân bị nhiễm sán là do ăn phải thức ăn sống như rau sống, tiết canh, gỏi cá… có nhiễm trứng, ấu trùng sán.
Đừng để giun sán làm tổ trong cơ thể chỉ vì tiếc 20.000 đồng
Xôn xao clip nước sinh hoạt bị ô nhiễm nặng, lẫn giun sán tại chung cư Meco Complex 102 Trường Chinh
Lòng nướng có giun sán, quán nướng bị đoàn liên ngành sờ gáy
Kinh hoàng với clip giun sán ngọ nguậy trong lòng lợn
Độc giả vẫn chưa hết sốc xung quanh vụ việc phát hiện giun sán trong lòng lợn

Nhiễm sán vì mê thức ăn sống
Sau khi bức ảnh được đưa lên, rất nhiều người cảm thấy sợ hãi và không khỏi rùng mình.
Anh Quang Long (Nghệ An) có người nhà cũng bị nhiễm sán chia sẻ: “Tôi có người nhà cũng bị nhiễm sán, chui lên não gây động kinh đã lâu. Nguyên nhân là do ăn thức ăn tái sống chứa nhiễm trùng sán. Đã từng ra Bệnh viện Bạch Mai khám phát hiện và tẩy sán, khỏi bệnh được tầm 10 năm thì cách đây 3 năm lại tái phát động kinh, chụp X-quang lưng bụng và MRI não thì vẫn còn rất nhiều nốt vôi hóa do sán để lại. Hiện tại, người nhà tôi vẫn đang uống thuốc chống động kinh được các bác sĩ kê đơn nhưng không cắt hẳn được cơn mà thi thoảng vẫn bị lên cơn động kinh. Tác hại của việc ăn đồ tái sống thật nặng nề”.
Bác sĩ Lương Quốc Chính - Bệnh viện Bạch Mai cho biết: “Rất nhiều người vẫn cho rằng đây không phải là hình ảnh của nhiễm sán vì không thể có chuyện sán lại cản quang trên phim X-quang được, nhưng vì đây là tổn thương đã vôi hóa nên mới cản quang như vậy, chỉ cần sử dụng hai từ khóa Cysticercosis, Trichinellosis để tìm ảnh trên trang tìm kiếm google sẽ thấy những hình ảnh tương tự”.
Thực tế không chỉ có trường hợp của gia đình anh Long mà còn rất nhiều trường hợp khác cũng đã chịu những tổn thương nặng nề vì bị nhiễm ấu trùng sán.
Như trường hợp của anh N.V.T ở quận Gò Vấp - TP HVM. Anh T đang công tác tại Campuchia, gần đây về nhà nghỉ anh thấy người mệt, sáng ngủ dậy hay thấy có những đốt trắng dài 3 – 5 cm còn cử động bám vào quần lót.
Quá sợ hãi, anh T. ra hiệu thuốc mua thuốc về tẩy giun nhưng không hết. Đến khi không chịu được nữa vì các đốt sán đứt ra và xuất hiện ở chiếu, quần khiến anh và gia đình sợ, anh T mới đến bệnh viện khám. Bác sĩ xem mẫu bệnh phẩm đã đoán ra sán dây bò và tiến hành sổ sán dây bò thì bắt được con sán dài đến 3 mét.
Dù sống hay chết, sán vẫn để lại di chứng nặng nề
Có rất nhiều loại sán hay gây bệnh ở người nhưng chủ yếu vẫn là sán lá gan và sán xơ mít, hay còn gọi là sán dây với các loại sán dây thịt lợn, sán dây thịt bò và sán dây cá.
Bác sĩ Lương Quốc Chính chia sẻ về vòng đời của sán lợn như sau: khi trứng được nuốt vào dạ dày, các bào thai sán sẽ được giải phóng ở ruột non và xâm nhập qua thành ruột. Từ đó chúng theo đường máu đến các tổ chức khác và phát triển thành kén sán trong vòng từ 3 tuần đến 2 tháng.
Các kén sán là các nang dịch có màng và một nốt chứa đầu sán. Đầu sán có các giác hút và móc và một hình thể sán sơ khai. Người nhiễm ấu trùng sán lợn là vật chủ trung gian ngẫu nhiên của sán.
Sán không lây trực tiếp từ người sang người mà qua vật chủ trung gian truyền bệnh như rau sống loại thủy sinh (rau ngổ, rau cần, ngó sen…), gỏi sống (gỏi cá nước ngọt, cua, nhiều nhất là gỏi cá mè, cá trắm), tay chân trẻ dính ấu trùng (trứng giun sán) rồi cho vào miệng, thịt lợn có nhiễm ấu trùng sán mà không nếu chín (thịt tái, thịt làm gỏi…)…
Các chuyên gia y tế cho biết thêm có rất nhiều bệnh nhân bị nhiễm sán không có triệu chứng nào. Nếu chú ý chỉ thấy một số triệu chứng tiêu hóa nghi ngờ như buồn nôn, tiêu chảy, đau bụng và các triệu chứng toàn thân như: mệt mỏi, đói, chóng mặt.
Đôi khi gặp các dấu hiệu như nôn ra các đốt sán, tắc ống mật, tắc ống tụy hoặc viêm ruột. Nhiễm sán dây bò hoặc lợn có thể do bệnh nhân tự phát hiện khi thấy có các đốt sán trong phân, quần áo hoặc chăn đệm.
Một số người nhiễm sán dây cá có triệu chứng thiếu máu hồng cầu to kèm với giảm tiểu cầu và bạch cầu. Các triệu chứng khác gồm: viêm lưỡi, khó thở, tim đập nhanh và các biểu hiện thần kinh như tê bì, rối loạn cảm giác, rối loạn thăng bằng, nghe kém, sa sút trí tuệ.
Các chuyên gia y tế khuyến cáo, sau khi nghi ngờ bị nhiễm sán, bệnh nhân cần đến bệnh viện càng sớm càng tốt để làm các xét nghiệm xem sán đang ở giai đoạn nào.
Sán để lại di chứng rất nặng nề nếu di trú vào mắt và lên não. Các nang sán còn sống sẽ rất dễ làm tắc cống não. Còn khi đã chết xác sán cũng khiến bệnh nhân bị những cơn động kinh đặc biệt không theo chu kỳ.
Để phòng ngừa nhiễm ấu trùng sán, người dân không nên ăn đồ sống, tái mà cần thực hiện ăn chín, uống sôi.
Quản lý tốt phân, rác. Rửa tay sạch bằng xà phòng trước khi ăn uống và sau khi lao động hoặc sau khi tiếp xúc với dụng cụ lao động và môi trường. Đối với các trường hợp đã bị nhiễm sán, cần được điều trị triệt để.

