Các nhà du hành vũ trụ đang gặp nguy hiểm trong không gian
Theo nghiên cứu mới, các nhà thám hiểm không gian đang phải đối mặt với nhiều nguy hiểm tiềm tàng khi du hành một quãng đường dài. Nhiều nhà khoa học cho rằng, bộ não của họ có thể bị phình to trong môi trường chân không.
Vì sao phong thủy không gian phòng bếp quan trọng?
Không gian sống xanh ở TNR Goldmark City “hớp hồn” cư dân
Nam A Bank ra mắt không gian giao dịch số ứng dụng trí tuệ nhân tạo
Độc đáo nhà tre bước ra từ hình học không gian của giáo viên Toán
Chào xuân Plus: Độc đáo không gian thư pháp giữa lòng Hà Nội

Trong những thập kỷ tới, nếu người Trung Quốc hay NASA tìm cách đưa con người lên sao Hỏa, các cơ quan vũ trụ này có lẽ sẽ phải đánh giá lại chiến lược của mình sau khi những nghiên cứu mới nhất phát hiện ra việc du hành vũ trụ gây tổn thương cho cơ thể con người, đặc biệt là não. Nghiên cứu mới cho thấy bộ não của con người có thể bị phình ra trong điều kiện vi trọng lực.
Điều này là do, khi ở Trái đất, trọng lực giúp máu chảy điều hòa trong cơ thể. Ngược lại, trong không gian, máu bắt đầu chảy trong các dây thần kinh thị giác cùng với lượng chất lỏng dư thừa làm tăng thể tích thực tế của não.
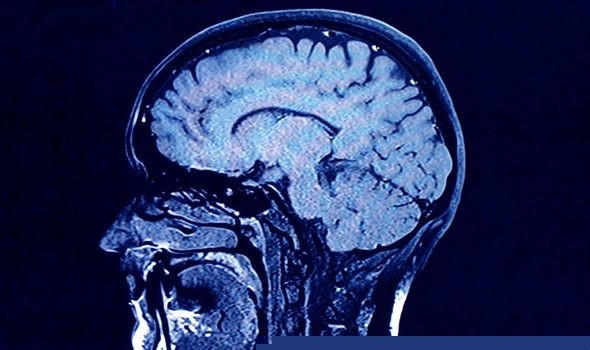
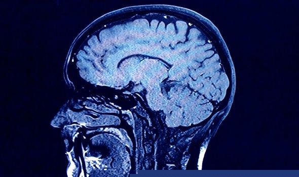
Các nhà khoa học từ Đại học Texas đã thực hiện 10 lần quét não MRI trên các phi hành gia trước và sau khi họ dành thời gian trên Trạm vũ trụ quốc tế. Nhóm nghiên cứu phát hiện ra rằng việc tiếp xúc lâu với vi trọng lực đã gây ra sự giãn nở trong não và dịch não tủy - chất lỏng trong suốt hoạt động như một bộ đệm cho não. Theo các nhà nghiên cứu, những thay đổi trong não này có thể so sánh với một người đã trải qua một thời gian dài trên giường bệnh.

Những hệ lụy lâu dài của việc này đối với các phi hành gia vẫn chưa đưa được ra kết luận đầy đủ, nhưng các nhà nghiên cứu cho biết: "Hiện tượng tương tự với một loại bệnh được gọi là tràn dịch não, tình trạng này xảy ra khi tâm thất trong não bị phình to bất thường. Các triệu chứng của tình trạng này bao gồm khó đi lại, gặp khó khăn trong việc kiểm soát bàng quang và mất trí nhớ.” Cho đến nay, các triệu chứng này vẫn không được đưa vào báo cáo của các phi hành gia sau khi du hành vũ trụ.
Larry Kramer, giáo sư tại Trung tâm khoa học sức khỏe của Đại học Texas ở Houston và là tác giả chính của nghiên cứu, cho biết: Khi bạn ở trạng thái vi trọng lực, chất lỏng như máu trong tĩnh mạch của bạn không còn chảy về phía chi dưới mà phân phối đi khắp nơi.
Sự chuyển động của chất lỏng về phía đầu có thể là một trong những nguyên nhân gây ra những thay đổi mà chúng ta đang quan sát thấy trong mắt và khoang nội sọ của các phi hành gia. Trên thực tế, sự mở rộng vật chất sẽ chịu trách nhiệm cho sự gia tăng khối lượng não và dịch não tủy. Loại biến dạng này phù hợp với việc tiếp xúc với áp lực lớn.”











