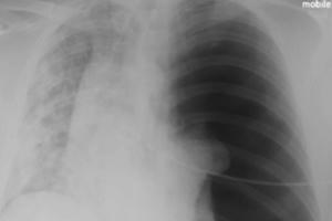
Hình ảnh phổi bị tàn phá của bệnh nhân Covid-19 36 tuổi
Bệnh nhân 36 tuổi đã bị ho khan, sốt và khó thở trong 3 tuần trước khi nhập viện.
Bệnh nhân 36 tuổi đã bị ho khan, sốt và khó thở trong 3 tuần trước khi nhập viện.
Bệnh nhân Lê Quang M. nghi nhiễm COVID-19 được cách ly tại bệnh viện Đa khoa thị xã Bỉm Sơn đã tử vong với kết quả xét nghiệm âm tính lần 1.
Đệ nhất phu nhân Ukraine Olena Zelenska đã phải nhập viện vì viêm phổi, tờ Ukrinform dẫn thông báo từ Văn phòng Tổng thống đăng trên Telegram cho hay.
Trong vòng 24h qua, thế giới ghi nhận thêm hơn 67.000 ca mắc Covid-19 và 4.656 ca tử vong do Covid-19, số ca mắc tại Đức đã vượt mốc 100.000.
Vĩnh Long, Đồng Tháp, Đồng Nai tiếp tục lùi lịch đón học sinh trở lại trường đến hết tháng 3/2020 do dịch Covid-19 diễn biến phức tạp.
Ông L.V.D (65 tuổi, ở tỉnh Đồng Tháp), từ Hàn Quốc trở về Việt Nam tại Cảng Hàng không quốc tế Cần Thơ chiều 4 - 3, bị choáng, ngất xỉu, được đưa đi cấp cứu y tế ở Bệnh viện (BV) Lao và bệnh phổi Cần Thơ. Sau đó, bệnh nhân chuyển biến nặng, được chuyển viện về BV Đa khoa TP Cần Thơ, đến khoảng 3h sáng 5 - 3 đã tử vong.
Chỉ tính riêng trong ngày hôm nay 22/2, Hàn Quốc ghi nhận thêm 229 ca nhiễm mới Covid-19, tăng mạnh nhất kể từ khi dịch bùng phát tại nước này hồi cuối tháng 1.
Theo một nghiên cứu mới đây, sự bùng phát vi rút corona và việc đóng cửa các khu vực khổng lồ của Trung Quốc có thể ảnh hưởng đến hơn 5 triệu doanh nghiệp trên toàn thế giới.
Cơ quan chức năng tỉnh Lạng Sơn đang truy tìm một phụ nữ quê Hải Phòng vừa trở về từ Trung Quốc trốn khỏi khu cách ly theo dõi virus corona.
Giới chức Hong Kong xác nhận, 9 thành viên trong một gia đình ở đặc khu đã nhiễm virus corona mới (nCoV) sau khi ăn lẩu cùng nhau.
Hai đơn vị quân đội của Bộ Tư lệnh Thủ đô sẵn sàng tiếp nhận 950 người từ vùng dịch trở về, đảm bảo cách ly, theo dõi tình hình sức khỏe, ngăn chặn nguy cơ dịch nCoV lây lan.
Số người chết vì virus corona chủng mới tại Trung Quốc hôm qua đã tăng 45 người, nâng tổng số ca tử vong lên 304, và số người bị nhiễm bệnh lên trên 14.500 người.
Ngày 31/1, truyền thông nhà nước Trung Quốc đưa tin 20 bệnh nhân nhiễm virus Corona đã được phép xuất viện tại bệnh viện Jinyintan của thành phố Vũ Hán, thủ phủ tỉnh Hồ Bắc ở miền Trung nước này.
Trung tâm Y tế quận Hoàng Mai vừa có báo cáo xác định thêm một trường hợp nghi nhiễm viêm phổi do virus corona tại quận này.
Hơn 400 người Australia sơ tán khỏi Vũ Hán sẽ được cách ly trên đảo Giáng Sinh trong khoảng 14 ngày.
Tổng số người nhiễm bệnh hiện là 5.974 người, trong đó có 1.239 người nguy kịch và 132 người đã tử vong.
Bệnh viện chống dịch virus Corona đầu tiên ở Trung Quốc đã khai trương hôm 28.1 sau khi các tình nguyện viên và công nhân dành 2 ngày để chuyển một tòa nhà trống thành trung tâm y tế 1.000 giường bệnh.
Ủy ban Y tế quốc gia Trung Quốc sáng nay (29/1) cho biết, tổng số người thiệt mạng do virus viêm phổi Vũ Hán gây ra đã lên tới 132 người.
Thủ tướng Chính phủ Nguyễn Xuân Phúc yêu cầu Bộ Giao thông vận tải (GTVT) tạm thời ngừng cấp phép các chuyến bay từ Việt Nam đến vùng có dịch của Trung Quốc và ngừng tất cả các chuyến bay từ vùng có dịch đến Việt Nam. Các Bộ, ngành, địa phương phải coi việc phòng, chống dịch như “chống giặc”.
Sáng 25/1, mồng 1 Tết Âm lịch Canh tý 2020, Cửa khẩu Quốc tế Lào Cai đã mở cửa đón vị khách nước ngoài đầu tiên tới xông đất, đồng thời khẩn trương triển khai tăng cường công tác chống dịch cúm virus Corona đang diễn biến phức tạp tại nước láng giềng Trung Quốc.