Bé trai 14 tháng tuổi bị bảo mẫu ném xuống nền nhà ở Quảng Ngãi đã không qua khỏi
Bé 14 tháng tuổi bị bảo mẫu bạo hành, ném mạnh xuống nền nhà đã qua đời do chấn thương sọ não quá nặng, sau nhiều ngày các bác sĩ nỗ lực cứu chữa.
Bé 14 tháng tuổi bị bảo mẫu bạo hành, ném mạnh xuống nền nhà đã qua đời do chấn thương sọ não quá nặng, sau nhiều ngày các bác sĩ nỗ lực cứu chữa.
Chủ cơ sở giữ trẻ tư nhân ở Quảng Ngãi vừa bị khởi tố, bắt tạm giam vì có hành vi ném bé trai 14 tháng tuổi xuống nền nhà khiến nạn nhân bị chấn thương sọ não.
Chỉ vì cháu bé quấy khóc, không chịu ngủ, Nguyễn Thị Quyên đã ném cháu xuống nền gạch khiến cháu bị chấn thương sọ não.
Ngày 19/12, Tòa án nhân dân thành phố Đà Nẵng mở phiên xét xử và tuyên phạt bị cáo Trần Quốc Ẩn (32 tuổi, trú xã Hòa Sơn, huyện Hòa Vang) 7 năm tù về tội Giết người.
Tài xế ô tô không chấp hành hiệu lệnh, tăng ga đâm vào cán bộ CSGT bị khởi tố với tội danh "giết người".
Nguyên nhân dẫn đến vụ việc bé trai 17 tháng tuổi bị tử vong sau khi gửi ở một nhà trẻ tư nhân là do hai "ác mẫu" bạo hành.
Lực lượng chức năng đang tiến hành khoanh vùng, điều tra vụ nghi phạm Nguyễn Văn Tuấn gây án giết người rồi nhảy cầu tự tử sáng 28/6.
Bác sĩ Đặng Thị Hồng - Trạm trưởng Trạm y tế thị trấn Gia Lộc (Hải Dương) bị tai nạn chấn thương sọ não khi đang trên đường khi đi lấy mẫu xét nghiệm cho người dân ở khu phong tỏa.
Khi vừa tan học ra tới cổng trường THPT Lang Chánh (huyện Lang Chánh, Thanh Hóa), em L. đã bị bạn cùng trường vụt gậy sắt vào đầu vỡ sọ não.
Thấy rác vứt bừa bãi, bà Thuận vừa quét vừa “chửi đổng” người vô ý thức, từ đó xảy ra mâu thuẫn với hàng xóm dẫn đến việc bà bị đánh.
Thấy rác vứt bừa bãi, bà Thuận vừa quét vừa “chửi đổng” người vô ý thức, từ đó xảy ra mâu thuẫn với hàng xóm dẫn đến việc bà bị đánh.
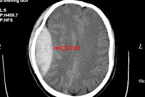
Sau gần hai tuần điều trị, bệnh nhi đang được theo với tình trạng rất nặng, hôn mê sâu, chết não, tiên lượng tử vong.
Đại diện Bệnh viện Nhi đồng 2 cho biết tình hình sức khỏe của bé gái 3 tuổi bị mẹ đánh chấn thương sọ não tiên lượng rất xấu, khó qua khỏi.
Công an quận 12 đang tạm giữ T.T.D. để điều tra hành vi bạo hành con gái ruột 3 tuổi rưỡi dẫn đến cháu bị chấn thương sọ não.
Công an quận Đồ Sơn vừa có công văn số 26/TB gửi Toà soạn, sau khi Pháp luật Plus đăng tải nội dung liên quan đến vụ việc của ông Nguyễn Hữu Đồng – sinh năm 1971, nơi ĐKHK: Đắc lộc 2, Đoàn Xá, Kiến Thụy, Hải Phòng đã bị 2 bố con ông Bùi Văn Quyết và con Bùi Quyết Thắng cùng trú tại tổ 5, Vạn Hương, Đồ Sơn, Hải Phòng đã có hành vi gây thương tích cho ông Nguyễn Hữu Đồng vào ngày 26/5/2018.
Ông Trần Đức Hà, người đánh cháu bé 12 tuổi ở khu đô thị Ciputra, từng bị tố cáo mạo danh cán bộ cơ quan trung ương để lừa đảo.
Thời điểm chiếc xe gặp nạn, đoàn người hầu hết đang ngủ… khi tỉnh dậy ai nấy cũng hoảng loạn, la hét…
Khi nghe điện thoại của một người gọi đến, em Quốc Anh liền mở cửa ra ngoài. Vừa đi ra khỏi nhà được ít phút thì gia đình nghe tin dữ.
Bị “chủ quán” kê ra hàng loạt dịch vụ không đúng để thu tiền, anh Lực nói: “Tôi không thanh toán, các ông muốn làm gì thì làm”. Dứt lời, anh bị “chủ quán” lao vào đánh chấn thương sọ não, tử vong.
Thông tin từ BV Đa khoa Hùng Vương, đơn vị này vừa phẫu thuật cứu sống bệnh nhân ngã từ độ cao 3m.