Nhiễm liên cầu khuẩn sau khi ăn tiết canh lợn
Thanh niên 29 tuổi, được đưa vào Bệnh viện E cấp cứu trong tình trạng lơ mơ, rối loạn ý thức, hôn mê, vật vã, hội chứng nhiễm trùng.
Thanh niên 29 tuổi, được đưa vào Bệnh viện E cấp cứu trong tình trạng lơ mơ, rối loạn ý thức, hôn mê, vật vã, hội chứng nhiễm trùng.
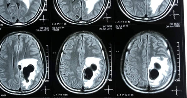
Kết quả chụp CT não, phát hiện 5 ổ sán nằm rải rác trong não, trong đó có một ổ sán lớn trên đỉnh của bệnh nhân gây phù não.
Bệnh viện Đa khoa tỉnh Phú Thọ vừa cấp cứu thành công cho Hà Đăng N. (40 tuổi, trú tại Tân Sơn, Phú Thọ) có sán làm tổ trong não.
Cứ vào thời điểm cuối năm lại xuất hiện những ca bệnh liên cầu khuẩn nguy kịch, thậm chí là tử vong do ăn tiết canh giải đen cuối năm.
Hai bệnh nhân nhập viện Đa khoa Thanh Hóa trong tình trạng sốt cao, đau đầu, buồn nôn. Nhiều ngày sau, bệnh nhân Trần Văn Phi đã tử vong do nhiễm khuẩn liên cầu lợn từ việc ăn tiết canh.