Phát hiện mảnh xương lợn bị mắc trong phế quản của người bệnh suốt 1 năm
Qua thăm khám các bác sĩ phát hiện một mảnh xưởng lợn kích thước 2 x 1,5cm với khá nhiều góc cạnh tại phế quản của bệnh nhân.
Quảng Ninh: Nhiều bất cập việc vận chuyển đất san lấp mặt bằng ở khu 2 thị trấn Trới
Quảng Ninh: Trạm trộn bê tông ngang nhiên hoạt động bất chấp lệnh tháo dỡ nhiều năm
Ngày 23/7, theo thông tin từ Bệnh viện Việt Nam – Thụy Điển Uông Bí cho biết, các bác sĩ Bệnh viện đã phát hiện và lấy ra được mảnh xương lợn kích thước 2 x 1,5cm với khá nhiều góc cạnh tại phế quản của một bệnh nhân.
Cụ thể, trước đó Bệnh viện Việt Nam – Thụy Điển Uông Bí tiếp nhận bệnh nhân Đ.Q.T trong tình trạng ho ra máu.
Sau khi tiến hành thăm khám, người bệnh được chỉ định chụp CT-Scanner. Kết quả phát hiện dị vật tại phế quản gốc phải. Nhanh chóng người bệnh được chỉ định gây mê nội soi phế quản để gắp dị vật.
Các bác sĩ đã tiến hành nội soi phế quản có camera để gắp dị vật. Tại vị trí phế quản gốc phải bị tắc bán phần do dị vật, bề mặt phế quản có xung huyết và rỉ máu, chảy máu. Sau rất nhiều nỗ lực, các bác sĩ đã lấy ra được mảnh xương lợn kích thước 2 x 1,5cm với khá nhiều góc cạnh.

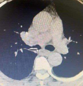
Mảnh xương tại vị trí phế quản gốc phải của người bệnh trên phim chụp CT-Scanner. Ảnh : Bệnh viện Việt Nam – Thụy Điển Uông Bí.
Bệnh nhân T cho biết, khoảng 1 năm trước trong lúc ăn cơm bệnh nhân vô tình bị hóc xương lợn và ho sặc sụa sau đó đỡ dần. Nghĩ là không sao nên bệnh nhân T đã không đi kiểm tra.
Nhưng suốt quãng thời gian sau đó bệnh nhân T thường xuyên bị ho sặc, tím tái người mỗi khi hoạt động mạnh hoặc gắng sức. Và khoảng 10 ngày trước khi vào viện người bệnh có xuất hiện ho ra máu nên đã đến Bệnh viện Việt Nam – Thụy Điển Uông Bí để kiểm tra.

Dị vật kích thước 2×1,5cm với nhiều góc cạnh được các bác sĩ phát hiện và lấy ra. Ảnh : Bệnh viện Việt Nam – Thụy Điển Uông Bí.
Theo BSCKI. Uông Hồng Hợp – Phụ trách khoa Tai Mũi Họng cho biết: Trường hợp của người bệnh trong suốt quãng thời gian dài bị hóc dị vật khiến người bệnh ho trong thời thời gian dài và viêm phế quản nhiều. Nếu dị vật để quá lâu sẽ gây viêm phế quản, viêm phổi, áp xe phổi.
Do vậy người dân khi có vấn đề bất thường cần được thăm khám tại cơ sở y tế uy tín có chuyên khoa để sớm phát hiện bất thường và có hướng điều trị kịp thời.
Nếu vô tình bị hóc dị vật tuyệt đối không tự lấy dị vật bằng bất cứ cách nào cũng như chủ quan bỏ qua việc lấy dị vật. Hãy đến các cơ sở y tế để được thăm khám và điều trị kịp thời, tránh những biến chứng ảnh hưởng đến sức khỏe.

