Phát hiện có tới 3… quả thận khi đi khám đau lưng
Báo cáo trên Tạp chí Y học New England (NEJM), các bác sĩ khám bệnh cho một người đàn ông 38 tuổi ở Brazil cho biết đã phát hiện ra một trường hợp kỳ lạ cực kỳ hiếm gặp.
Kiểm tra khách sạn rạng sáng, phát hiện hàng chục đối tượng sử dụng ma túy
7 anh em đang cắt rừng từ Lào về Việt Nam thì bị phát hiện, đưa đi cách ly
Ca bệnh đầu tiên được phát hiện dương tính Covid-19 sau điều trị tại Việt Nam
Kiểm tra đoàn "xe vua" phát hiện tài xế dương tính với ma túy
Đột kích quán karoke, phát hiện 27 "dân chơi" dương tính với ma túy

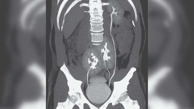
Bệnh nhân 38 tuổi này đã đến một bệnh viện ở thành phố São Paulo của Brazil khi nghi đau thắt lưng do trượt đĩa đệm. Kết quả chụp cắt lớp vi tính (CT) cho thấy người đàn ông đang bị trượt đĩa đệm thực sự. Tuy nhiên, vấn đề này lại không được quan tâm bằng việc các bác sĩ bất ngờ phát hiện ra sự lạ đó là người đàn ông này có tới 3 quả thận. Trong đó, một quả thận trái xuất hiện bình thường và hai quả thận hợp nhất.
"Chúng tôi chưa bao giờ thấy bất cứ điều gì như thế này", tiến sĩ Renato Foresto, một trong những tác giả bài báo cho biết. "Dù ngạc nhiên nhưng chúng tôi lo ngại có vấn đề gì đó với sức khỏe của bệnh nhân”.
Kỳ lạ hơn tình trạng này dường như không ảnh hưởng đến sức khỏe của người đàn ông. Các xét nghiệm máu cho thấy chức năng thận của anh ta bình thường, ngoại trừ đĩa bị trượt, có vẻ mọi thứ vẫn ổn. Bệnh nhân tạm thời được điều trị như bình thường với căn bệnh của mình.
"Chức năng thận của anh ấy hoàn toàn bình thường. Nghiên cứu sâu hơn với siêu âm bụng và chụp cắt lớp được coi là đủ vì nguyên nhân của cơn đau đã được chẩn đoán và không có thay đổi nào khác trong các xét nghiệm trong phòng thí nghiệm", bác sĩ Foresto nói thêm.
Thận của người đàn ông này được xác định là một bất thường bẩm sinh không phổ biến có thể xảy ra trong quá trình phát triển phôi khi một cấu trúc giống như thận nguyên thủy tách ra làm hai. Mặc dù cực kỳ hiếm, tình trạng này đã được ghi nhận một số lần trước đây.
Tuy nhiên, các bác sĩ nghiên cứu trường hợp này giải thích, nhiều người thậm chí không nhận thức được tình trạng của họ. Những người bị ảnh hưởng thường không có triệu chứng, và trong trường hợp này, tình trạng có thể không được biết đến cho đến khi đi khám bệnh vì một lý do khác.

