Ổ sán khổng lồ 'lúc nhúc' trong não người đàn ông ở Phú Thọ
Ổ sán khổng lồ cư trú trong não khiến người đàn ông ở Phú Thọ mất dần trí nhớ, phù não diện rộng, phải phẫu thuật khẩn cấp.
Ký sinh trùng ăn thịt người đang hoành hành ở Syria như thế nào?
5 món ăn chứa nhiều ký sinh trùng đáng sợ nhất
Phẫu thuật lấy bào thai ký sinh trong bụng bé gái 1 tuổi
Phát hiện gen khiến ký sinh trùng sốt rét kháng thuốc tại Campuchia
Ăn ốc bươu bị nhiễm ký sinh trùng, 4 cháu bé bị viêm màng não
Khoa Ngoại Thần kinh - Bệnh viện Đa khoa tỉnh Phú Thọ vừa tiếp nhận ông Hoàng Văn D. (50 tuổi, ở Lào Cai) bị sán làm tổ trong não. Bệnh nhân được chuyển tuyến từ Bệnh viện tỉnh Lào Cai trong tình trạng giảm trí nhớ, giảm tri giác.

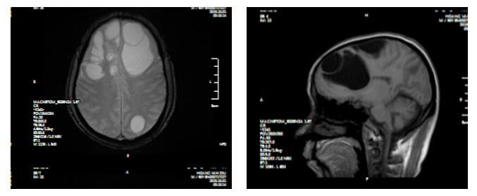
Hình ảnh phim chụp CT sọ não bệnh nhân có sán làm tổ trong não gây suy giảm trí nhớ.
Gia đình người bệnh cho biết, khoảng một tháng nay ông D. xuất hiện những biểu hiện giảm trí nhớ nhanh đến “kỳ lạ”, tứ chi có biểu hiện giảm vận động.
Tại bệnh viện, kết quả chụp CT sọ não bệnh nhân cho thấy có ổ sán khổng lồ ở cả hai bán cầu trái gây phù não diện rộng. Bệnh nhân được chỉ định can thiệp ngoại khoa bằng phương pháp phẫu thuật.
Sau ca phẫu thuật kéo dài khoảng 2 giờ đồng hồ, ổ nang sán trong não người bệnh được kíp mổ loại bỏ hoàn toàn.
BS CKII. Hà Xuân Tài - Phó Khoa Ngoại thần kinh, Bệnh viện Đa khoa tỉnh Phú Thọ cho biết, kén sán não là bệnh nhiễm trùng hệ thần kinh do ấu trùng sán dây lợn sống ký sinh ở người gây ra.
Bệnh gặp chủ yếu nơi có mức sống thấp, điều kiện vệ sinh môi trường kém, đặc biệt là ở những vùng có tập quán nuôi lợn thả rông, hoặc ăn thịt lợn chưa được nấu chín. Bệnh kén sán não nếu không được phát hiện và xử trí sớm sẽ dẫn tới nhiều biến chứng cực kỳ nguy hiểm.
Để phòng bệnh, người dân nên ăn chín, uống sôi, tuyệt đối không ăn tiết canh, gỏi sống… Đặc biệt khi thấy xuất hiện các cơn đau đầu, co giật, người bệnh cần phải chú ý xét nghiệm các bệnh liên quan đến ký sinh trùng.











