Nhập viện vì sán lá gan sinh sôi khắp cơ thể
Đau nhức khắp cơ thể suốt nhiều năm, bà H đến bệnh viện khám thì phát hiện mình bị nhiễm sán lá gan, đang sinh sôi lan ra nhiều bộ phận...
Bị phạt 10 triệu đồng vì đăng Facebook sai sự thật về việc "heo nhiễm sán"
Bộ GD&ĐT yêu cầu kiểm soát chặt nguồn thực phẩm sau vụ nhiễm sán lợn
Vì sao chưa thể khẳng định học sinh Bắc Ninh nhiễm sán do ăn ở trường?
Thủ tướng giao Bộ Công an điều tra thực phẩm bị nhiễm sán lợn ở Bắc Ninh
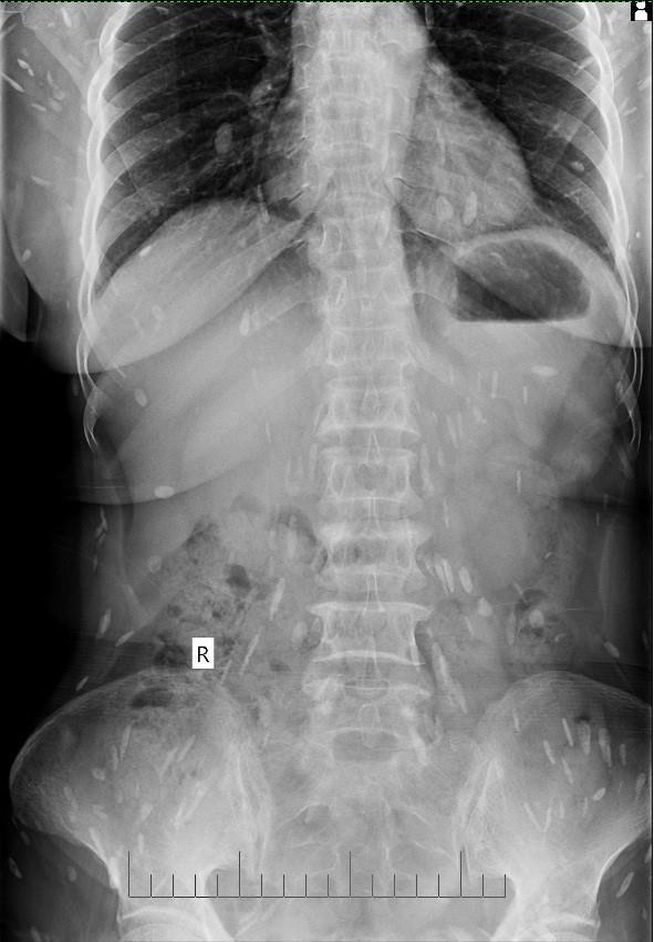
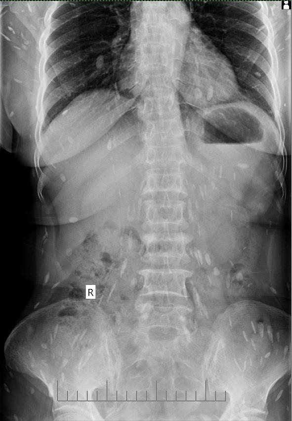
Ngày 21/3, Bệnh viện Quốc tế Vinh (Nghệ An), cho biết vừa phát hiện một trường hợp nhiễm sán lá gan lớn. Bệnh nhân là bà P.T.Đ (55 tuổi, trú huyện Anh Sơn, Nghệ An).

Trong suốt một thời gian dài bà Đ. thường xuyên bị mệt mỏi, đầy bụng, đau đầu, đau ở vùng ngực và thắt lưng nên mua thuốc về tự điều trị. Tuy nhiên dấu hiệu bệnh không hề thuyên giảm.
Ngày 19/3 gia đình đưa bà đến bệnh viện để khám. Qua thăm khám, xét nghiệm, siêu âm, chụp X-quang, các bác sĩ kết luận bệnh nhân bị mắc bệnh sán lá gan sinh sống trong cơ thể đã nhiều năm, đang sinh sôi, lan ra trong nhiều bộ phận cơ thể. Người bệnh được kê thuốc và hướng dẫn lên bệnh viện tuyến trên để theo dõi, điều trị tiếp.
Các bác sĩ tại đây khuyến cáo, để phòng ngừa nguy cơ sán trú ngụ trong cơ thể, người dân không nên ăn cá và ốc chưa nấu chín dưới mọi hình thức, không ăn rau sống mọc dưới nước, không uống nước lã.. Đặc biệt, khi có các triệu chứng nêu trên, bệnh nhân nên đi khám và điều trị kịp thời, tránh các trường hợp đáng tiếc xảy ra.

