Người lớn bất cẩn: Bé trai 20 tháng bị hôn mê do tivi đổ vào đầu
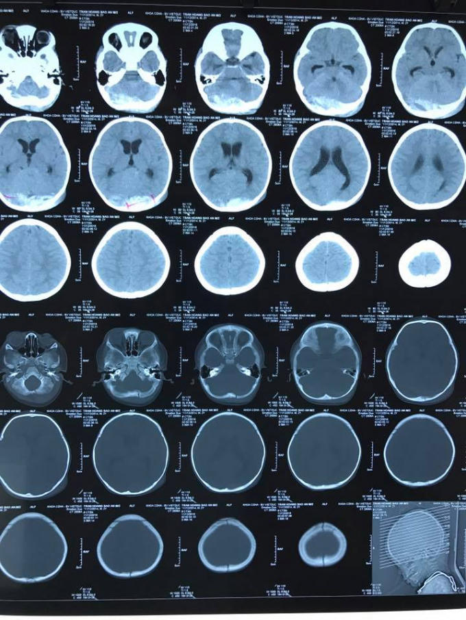
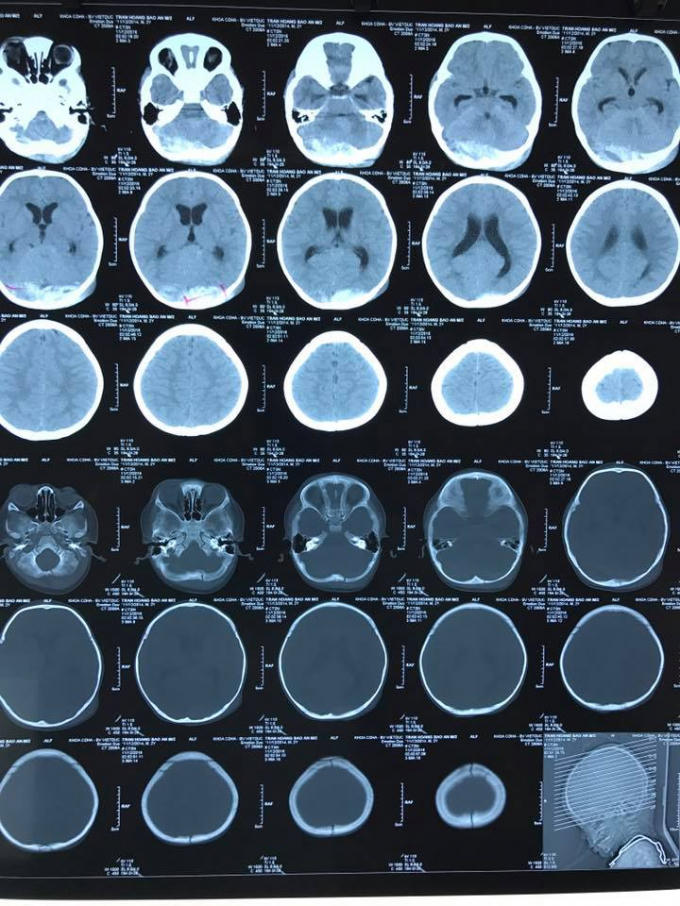
Hình ảnh chụp CT- scan sọ não cho thấy bệnh nhi có máu tụ ngoài màng cứng chẩm hai bên. Trước đó, ở nhà khi bé kéo ngăn kéo tủ kệ ti vi thì chiếc tủ bị nghiêng, cả chiếc ti vi nặng đổ ụp vào đầu
Bác sĩ lưu ý cách chăm sóc trẻ ngày đông
Bác sĩ sợ hãi loại bỏ 360 viên sỏi trong cơ thể cô gái sau 1 giờ phẫu thuật
Đỡ đẻ cho thai phụ nặng 140kg, gần 20 bác sĩ "toát mồ hôi"
Vụ bé gái 2 tuổi bị liệt chân sau khi chữa viêm phổi: Bác sĩ khuyên gia đình bé không nên lo lắng
Bác sĩ tắc trách khiến bé gái mới sinh bị tật nguyền?
Tin nên đọc




Ngày 1/1/2017, Bệnh viện Việt Đức cho biết, bệnh viện vừa tiếp nhận trường hợp bé trai 20 tháng, bị ti vi đổ vào đầu khi kéo ngăn tủ kệ ti vi.
Theo các bác sĩ, bệnh nhi nhập viện trong tình trạng hôn mê, bóp bóng qua nội khí quản, đồng tử đều 1.5mm, huyết động tạm ổn định. Hình ảnh chụp CT- scan sọ não cho thấy bệnh nhi có máu tụ ngoài màng cứng chẩm hai bên.
Trước đó, ở nhà khi bé kéo ngăn kéo tủ kệ ti vi thì chiếc tủ bị nghiêng, cả chiếc ti vi nặng đổ ụp vào đầu. Ngay lập tức, bệnh nhân được cấp cứu ban đầu tại tuyến tỉnh và chuyển lên Bệnh viện Việt Đức.

Tiếp nhận ca bệnh, các bác sĩ đã tiến hành mổ cấp cứu lấy máu tụ và bệnh nhi được chuyển lên hồi sức tích cực thở máy. Hiện tại sau hai tuần điều trị cháu bé đã tỉnh, tự thở, huyết động ổn. Dự kiến bé sẽ được ra viện trong một vài ngày tới.
Trên thực tế, tai nạn sinh hoạt luôn tiềm ẩn nguy cơ xảy ra với trẻ nhỏ, khiến nhiều trẻ đã phải nhập viện trong tình trạng nguy hiểm tính mạng.
Cách đây không lâu, Khoa Bỏng- bệnh viện đa khoa Xanh pôn (Hà Nội) tiếp nhận bé Quốc H. (13 tháng tuổi ở huyện Đông Anh, Hà Nội) bị bỏng nặng từ chiếc ấm siêu tốc. Mẹ cháu kể, hôm đó, chị vừa đổ đầy nước vào chiếc ấm siêu tốc để đun, biết con hiếu động hay đùa nghịch nên chị đã đặt hẳn vào góc phòng rồi mới cắm điện, sau đó ra ngoài phơi đồ.
Nhưng ra ngoài chưa đầy 5 phút thì đã nghe tiếng con khóc ré lên, vội chạy vào xem chị tá hỏa cháu đang ôm cả chiếc ấm vào người. Hoá ra trong lúc chị phơi quần áo, cháu đã tò mò lại gần chiếc ấm rồi ôm trọn chiếc ấm.

Hay trường hợp của bé H. (9 tháng tuổi, Hoài Đức, Hà Nội) bị bỏng ở vùng chân do với tay vào phích nước sôi mẹ để ngay chiếc bàn thấp cạnh đó. Diện tích bỏng 15% cơ thể khiến vết bỏng đau rát nên bé H. liên tục khóc thét lên.
Rồi trường hợp của bé Nguyễn Thị Bích N. (16 tháng tuổi, Thạch Thất, Hà Nội) nhập Khoa cấp cứu chống độc-Bệnh viện Nhi Trung ương do uống nhầm dầu hỏa.
Theo lời kể của gia đình bé N. cho biết, tối hôm đó, gia đình tổ chức liên hoan cho các cháu, bé N. chơi đùa với các bạn. Và khi người lớn không để ý, bé đã vô tình uống nhầm chai dầu hỏa đang được mở nắp để trong nhà. Sau khi uống xong, cháu ho sặc sụa, khó thở, tím tái nên được gia đình đưa vào bệnh viện.
Qua các trường hợp này, các bác sĩ cảnh báo, trẻ nhỏ vốn rất hiếu động, vì thế tiềm ẩn nhiều nguy cơ chấn thương, tai nạn sinh hoạt, thậm chí có những trường hợp rất nguy hiểm. Do đó, người lớn luôn cần để mắt đến trẻ, nhắc nhở trẻ để hạn chế những nguy cơ rủi ro cho các bé, đặc biệt những ngày lễ tết bận rộn.

