Hà Nội 22 °C
TP Hồ Chí Minh 27 °C
Hải Phòng 22 °C
Đà Nẵng 25 °C
Yên Bái 17 °C
  • Hà Nội Hà Nội 22°C
  • TP Hồ Chí Minh Hà Nội 27°C
  • Hải Phòng Hà Nội 22°C
  • Đà Nẵng Hà Nội 25°C
  • Yên Bái Hà Nội 17°C

Một bệnh nhân người Campuchia bị vỡ phình động mạch chủ ngực được cứu sống

Sức khỏe - đời sống
19/06/2023 11:19
Xuân Thành
aa
Theo thông tin Bệnh viện Đa khoa Quốc tế S.I.S Cần Thơ, đơn vị đã cấp cứu thành công cho bệnh nhân sống tại Campuchia, bị vỡ phình động mạch chủ ngực.


Trước đó ngày 16/6, ông S.T (57 tuổi, Sống ở tỉnh Prey Veng, Campuchia) nhập viện S.I.S Cần Thơ trong tình trạng đau vùng thượng vị, lan sang hạ sườn trái, không yếu liệt, huyết áp: 150/80, mạch: 80l/p.

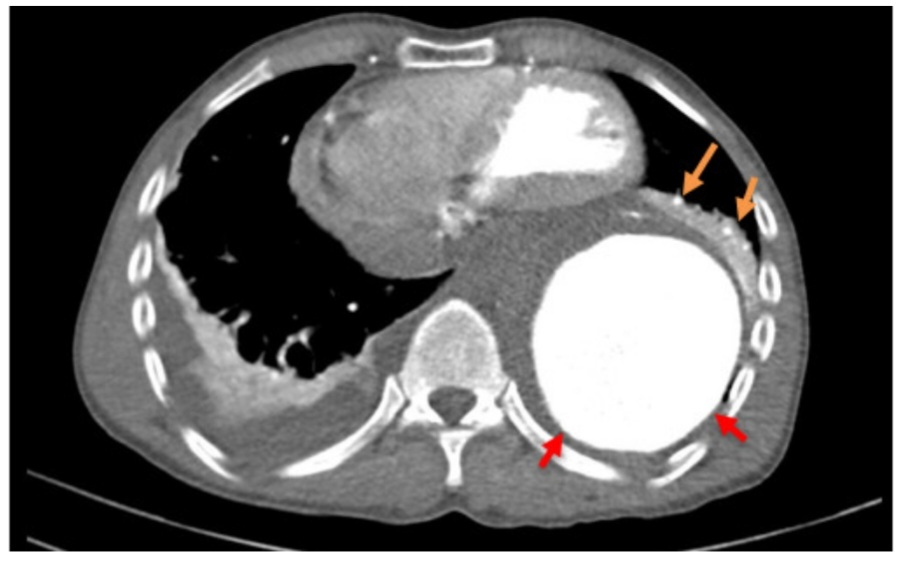
Bệnh nhân được đưa vào khoa cấp cứu Bệnh viện S.I.S, kết quả chụp CTA ông T bị phình động mạch chủ ngực đã vỡ gây tràn máu ra ngoài thành mạch xung quanh động mạch chủ ngực đoạn xuống và màng phổi hai bên, có nguy cơ tử vong cao. Chụp CT lồng ngực cho thấy máu tụ quanh phình động mạch chủ.

Screenshot_20230618_072436_WordChụp CT lồng ngực có tiêm thuốc cản quang: máu tụ quanh phình động mạch chủ. Ảnh BVCC

Tiến hành hội chẩn, các bác sĩ đã cấp cứu đặt stent Graft thành công cho bệnh nhân sau 30 phút. Hiện bệnh nhân đã giảm đau ngực, đang được tiếp tục theo dõi.

IMG_20230618_075746-1024x759Bệnh nhân đã hồi phục sau gần 2 ngày điều trị. Ảnh BVCC

Theo người thân ông T cho biết, trước khi nhập viện 2 ngày ông T bị đau vùng thượng vị, lan sang hạ sườn trái, được chụp CTA tại Campuchia và chẩn đoán phình động mạch chủ ngực. Sau đó, cơn đau dữ dội hơn, ông T được chuyển đến S.I.S Cần Thơ điều trị.

BS.CKII Ngô Minh Tuấn – Trưởng khoa Chẩn đoán hình ảnh – Trưởng Đơn vị Can thiệp mạch máu tạng ngoại biên cho biết, phình động mạch chủ rất nguy hiểm mà đặc biệt là khi vỡ thì khả năng cứu sống là rất thấp. Bệnh nhân đã bị vỡ bên Campuchia mà vẫn cố gắng chịu đựng qua đến được Bệnh viện S.I.S Cần Thơ đã là kỳ tích…

bài liên quan
Báo Pháp luật Việt Nam tiếp tục mang mái ấm đến với người dân Phú Thọ

Báo Pháp luật Việt Nam tiếp tục mang mái ấm đến với người dân Phú Thọ

Ngày 8/11, Tổng biên tập Báo Pháp luật Việt Nam, cùng các cán bộ, phóng viên, nhà tài trợ, tiếp tục đến với xã Liên Minh - Phú Thọ, để trao tặng hai căn nhà cho hộ dân còn gặp nhiều khó khăn trong cuộc sống.
Thượng tôn pháp luật – Động lực của đổi mới và phát triển

Thượng tôn pháp luật – Động lực của đổi mới và phát triển

Trong kỷ nguyên hội nhập sâu rộng, thượng tôn pháp luật không chỉ là nền tảng của Nhà nước pháp quyền xã hội chủ nghĩa, mà còn là động lực thúc đẩy đổi mới, kiến tạo phát triển bền vững.
LỜI TRI ÂN NHÂN KỶ NIỆM 10 NĂM RA MẮT CHUYÊN TRANG TRUYỀN THÔNG PHÁP LUẬT PLUS

LỜI TRI ÂN NHÂN KỶ NIỆM 10 NĂM RA MẮT CHUYÊN TRANG TRUYỀN THÔNG PHÁP LUẬT PLUS

Tối qua ngày 5/11/2025, Lễ kỷ niệm 10 năm ra mắt Chuyên trang truyền thông Pháp luật + (Pháp luật Plus) – Báo Pháp luật Việt Nam đã diễn ra tại Trung tâm Hội nghị Quốc tế, Ba Đình (Hà Nội) trong không khí trang trọng, ấm áp và đầy cảm xúc.
Ca sĩ Phương Nhung trở lại với đêm nhạc kỷ niệm 20 năm - “Mắt Nhung” không chỉ là tên gọi

Ca sĩ Phương Nhung trở lại với đêm nhạc kỷ niệm 20 năm - “Mắt Nhung” không chỉ là tên gọi

Ca sĩ Phương Nhung đánh dấu cột mốc 20 năm hoạt động nghệ thuật bằng đêm nhạc mang tên “Mắt Nhung” - nơi đôi mắt như lời tự tình chứa đựng những cung bậc của cảm xúc, dấu ấn và tâm sự của một hành trình dài bền bỉ với âm nhạc.
10 năm ra mắt Chuyên trang điện tử Pháp luật Plus: Hành trình khẳng định uy tín và dấu ấn trong làng báo chí Việt Nam

10 năm ra mắt Chuyên trang điện tử Pháp luật Plus: Hành trình khẳng định uy tín và dấu ấn trong làng báo chí Việt Nam

Không chỉ là dịp nhìn lại chặng đường phát triển đầy nỗ lực của một chuyên trang báo chí trẻ trung, hiện đại mà còn khẳng định vị thế, vai trò và trách nhiệm của Pháp luật Plus trong bối cảnh truyền thông số phát triển mạnh mẽ.
Hơn một thập kỷ – Hành trình tiên phong của Pháp luật Plus

Hơn một thập kỷ – Hành trình tiên phong của Pháp luật Plus

Pháp luật Plus không chỉ đóng vai trò báo chí truyền thống, mà còn là nền tảng điện tử đa phương tiện, kết nối bạn đọc – pháp luật.
Mới nhất
Đọc nhiều
Xuất nhập khẩu vượt mốc 900 tỷ USD

Xuất nhập khẩu vượt mốc 900 tỷ USD

Theo thông tin từ Cục Xuất nhập khẩu (Bộ Công Thương), tính đến hết ngày 15/12/2025, tổng kim ngạch xuất nhập khẩu hàng hoá cả nước đạt 883,7 tỷ USD. Đến cuối năm 2025, dự kiến tổng kim ngạch xuất nhập khẩu của Việt Nam có thể đạt 920 tỷ USD.
Khởi tố, tạm giam 15 đối tượng mang hung khí gây náo loạn trung tâm Lạng Sơn

Khởi tố, tạm giam 15 đối tượng mang hung khí gây náo loạn trung tâm Lạng Sơn

Mang theo hung khí, 15 đối tượng hẹn nhau hỗn chiến lúc rạng sáng tại khu vực trung tâm Lạng Sơn, gây náo loạn trật tự công cộng và bị khởi tố, tạm giam.
Người đẹp Mỹ đăng quang Miss Cosmo 2025

Người đẹp Mỹ đăng quang Miss Cosmo 2025

Đêm chung kết Miss Cosmo 2025 vừa diễn ra tại TP HCM với sự góp mặt của 71 thí sinh. Người đẹp Mỹ - Yolina Lindquist đăng quang ngôi vị cao nhất. Đại diện Việt Nam - Phương Linh dừng chân ở top 10.
Tin bài khác
Bức thư của Bác Hồ căn dặn 3 điều gửi tới Hội nghị cán bộ ngành Y tế tháng 2/1955

Bức thư của Bác Hồ căn dặn 3 điều gửi tới Hội nghị cán bộ ngành Y tế tháng 2/1955

Ngày 27/2/1955, nhân dịp tổ chức Hội nghị cán bộ Y tế, Bác Hồ đã gửi thư cho Hội nghị căn dặn ba điều.
Lễ hội Nguyên tiêu và Đêm thơ Việt Nam 2024: Vần xưa vang bóng – Điệu mới giao hòa

Lễ hội Nguyên tiêu và Đêm thơ Việt Nam 2024: Vần xưa vang bóng – Điệu mới giao hòa

Với người yêu thơ, đêm thơ Nguyên tiêu là một sự kiện quan trọng, một ngày lễ ý nghĩa, không thể thiếu mỗi dịp xuân về.
“Yêu thương con người trước khi trở thành bác sĩ”

“Yêu thương con người trước khi trở thành bác sĩ”

Bác sĩ (BS) Đỗ Doãn Bách - Bệnh viện Bạch Mai Hà Nội luôn tâm niệm, phải học cách yêu thương con người trước khi trở thành một BS, khi đó sẽ có vô vàn cách thức để cứu chữa người bệnh.
Nắng nóng ở TP Hồ Chí Minh ngày càng gay gắt

Nắng nóng ở TP Hồ Chí Minh ngày càng gay gắt

Sau vài ngày dịu bớt, nắng nóng tại TP Hồ Chí Minh và Nam Bộ đã quay trở lại với cường độ gay gắt và có xu hướng tăng cường độ.
"Ngôi nhà chung ngành Y chứa biết bao trái tim, khối óc nhân ái"

"Ngôi nhà chung ngành Y chứa biết bao trái tim, khối óc nhân ái"

Theo Bộ trưởng Bộ Y tế Đào Hồng Lan, ngôi nhà chung ngành Y chứa biết bao trái tim, khối óc nhân ái, tài năng, luôn tràn đầy nhiệt huyết, tận tâm vì nghề, cùng nhau hướng tới mục tiêu nâng cao sức khỏe người dân cả về thể chất và tinh thần; Viết tiếp những kỳ tích của nền y học nước nhà.
Hơn 400 món ăn ba miền tại Lễ hội văn hóa ẩm thực

Hơn 400 món ăn ba miền tại Lễ hội văn hóa ẩm thực

Lễ hội văn hóa ẩm thực, món ngon Saigontourist Group 2024 diễn ra trong 4 ngày, từ ngày 28 đến ngày 31-3 tại Khu Du lịch Văn Thánh, TP Hồ Chí Minh.
Khai mạc lễ hội Đền Cô Tân An

Khai mạc lễ hội Đền Cô Tân An

Sáng 26/2 (tức 17 tháng Giêng), UBND xã Tân An, huyện Văn Bàn tổ chức khai hội Đền Cô Tân An năm 2024.
TP Hồ Chí Minh khởi động Tháng Thanh niên 2024 với nhiều hoạt động sôi nổi

TP Hồ Chí Minh khởi động Tháng Thanh niên 2024 với nhiều hoạt động sôi nổi

Hơn 1.000 bạn trẻ TP Hồ Chí Minh tham gia các hoạt động ra quân Tháng Thanh niên 2024 chủ đề "Thanh niên xung kích tình nguyện vì cuộc sống cộng đồng".
Tri ân những "thiên thần áo trắng"

Tri ân những "thiên thần áo trắng"

Tối nay (26/2), tại Nhà hát Hồ Gươm (Hà Nội) sẽ diễn ra chương trình tôn vinh Thầy thuốc Việt Nam và trao giải cuộc thi viết "Sự hy sinh thầm lặng" lần VI.
Hơn 400 công ty dệt may tham gia triển lãm quốc tế tại TP Hồ Chí Minh

Hơn 400 công ty dệt may tham gia triển lãm quốc tế tại TP Hồ Chí Minh

Theo Cục Xúc tiến thương mại, việc hỗ trợ tìm đơn hàng mới cho doanh nghiệp dệt may là một trong những nỗ lực mà Chính phủ, Bộ ngành rất quyết tâm.
tong bi thu to lam lam viec voi 2 tinh an giang kien giang

Tổng Bí thư Tô Lâm làm việc với 2 tỉnh An Giang, Kiên Giang

Ngày 4/6, Tổng Bí thư Tô Lâm và Đoàn công tác Trung ương đã có buổi làm việc với Ban Thường vụ Tỉnh ủy Kiên Giang và Thường trực Tỉnh ủy An Giang về tình hình triển khai các nghị quyết, kết luận của Trung ương; công tác tổ chức bộ máy; quốc phòng, an ninh
tien giang dieu tra vu chu doanh nghiep gao nghi bi lua hon 420 ty dong

Tiền Giang: Điều tra vụ chủ doanh nghiệp gạo nghi bị lừa hơn 420 tỷ đồng

Công an tỉnh Tiền Giang đang tiến hành điều tra, làm rõ vụ một chủ doanh nghiệp kinh doanh lúa gạo nghi bị lừa đảo trên không gian mạng với số tiền trên 420 tỷ đồng.
quang ninh can canh xe tai cho dat chay ram rap suot ngay dem dan lo hong duong o nhiem

Quảng Ninh: Cận cảnh xe tải chở đất chạy rầm rập suốt ngày đêm, dân lo hỏng đường, ô nhiễm

Gần 1 tháng nay trên tuyến tỉnh lộ 337 và Quốc lộ 279 đoạn từ xã Thống Nhất đến cảng Làng Khánh (TP Hạ Long), thường xuyên xuất hiện hàng chục xe tải lớn chở đất chạy rầm rập suốt ngày đêm, cuốn theo bụi mù mịt.
trao quyet dinh bo nhiem thu truong bo tu phap nguyen thanh tu

Trao quyết định bổ nhiệm Thứ trưởng Bộ Tư pháp Nguyễn Thanh Tú

Chiều 17/3, Bộ Tư pháp tổ chức Hội nghị công bố quyết định của Thủ tướng Chính phủ về việc bổ nhiệm đồng chí Nguyễn Thanh Tú, Vụ trưởng Vụ Pháp luật Dân sự - Kinh tế giữ chức Thứ trưởng Bộ Tư pháp.
cong nhan tp phu quoc la do thi loai i truc thuoc tinh kien giang

Công nhận TP Phú Quốc là đô thị loại I trực thuộc tỉnh Kiên Giang

Ngày 21/1, Phó Thủ tướng Chính phủ Trần Hồng Hà vừa ký quyết định về việc công nhận TP Phú Quốc là đô thị loại I trực thuộc tỉnh Kiên Giang.