Máu chảy ồ ạt trong ổ bụng, người đàn ông vẫn đứng dự lễ cưới
Dù bị vỡ túi phình động mạch chủ gây máu chảy ồ ạt trong ổ bụng nhưng người đàn ông đang đứng dự lễ cưới của người cháu vẫn nghĩ do đau bụng. Nhưng không ngờ sau đó tình trạng nặng hơn, bệnh nhân bị tụt huyết áp, tri giác lơ mơ, xe cấp cứu lập tức vào bên trong đám cưới đưa bệnh nhân đi cấp cứu khẩn cấp.
Nhà Trắng tiết lộ tình trạng sức khỏe của ông Trump
10 mối đe dọa sức khỏe nhân loại 2019
Đông trùng hạ thảo - món quà Tết mang lời chúc sức khỏe
Hà Nội: Chỉ số ô nhiễm không khí ở mức có hại cho sức khoẻ
Kem đánh răng dược liệu - biện pháp cho sức khỏe răng miệng
Tin nên đọc





Ngày 19.2, Bệnh viện Bình Dân (TP.HCM) cho biết vừa phẫu thuật cứu sống thành công một bệnh nhân bị vỡ túi phình động mạch chủ bụng gây chảy máu ồ ạt trong ổ bụng, nguy kịch trong lúc đang dự lễ cưới của một người cháu.
Theo người nhà bệnh nhân N.T.Đ.(60 tuổi, Bình Phước), trước đó, ông Đ. đang dự lễ cưới của một người cháu thì thấy đau bụng, nhưng nghĩ chắc do các cơn đau của rối loạn tiêu hóa nên ông gắng gượng để hoàn thành các nghi lễ trong đám cưới. Tuy nhiên, tình trạng đau ngày một trầm trọng, bệnh nhân bị tụt huyết áp, lơ mơ, mọi người lập tức gọi xe cấp cứu chuyển ông đến bệnh viện địa phương cấp cứu. Tại đây, ông Đ. được chẩn đoán vỡ túi phình động mạch chủ bụng và đã chuyển ngay đến Bệnh viện Bình Dân.
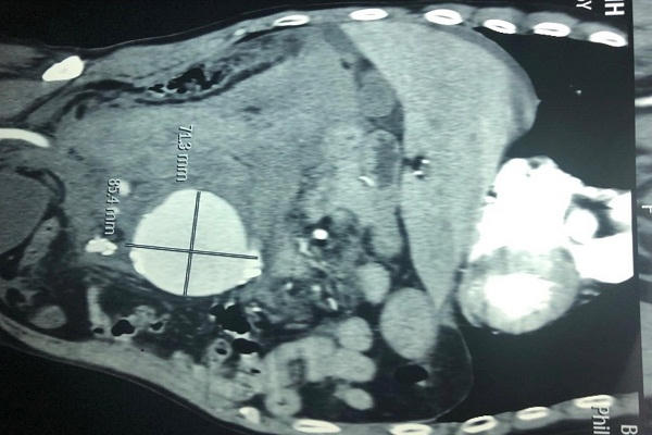
Bác sĩ Hồ Khánh Đức- Khoa Phẫu thuật Tim-Mạch máu Bệnh viện Bình dân cho biết, bệnh nhân chuyển đến trong tình trạng rất nguy kịch, sốc mất máu, tụt huyết áp, tri giác lơ mơ, tiếp xúc chậm. Các bác sĩ xác định bệnh nhân vỡ túi phình động mạch chủ bụng đường kính 71mm và chuyển ngay vào phòng mổ cấp cứu.

“Sau hơn 3 giờ, các bác sĩ tập trung cao độ để giành giật sự sống của người bệnh với tử thần ngay trên bàn mổ. Nhóm phẫu thuật đã đặt thành công ống ghép mạch máu nhân tạo vào trong động mạch chủ bụng, thay thế cho đoạn động mạch phình bị vỡ. Người bệnh được truyền 4 đơn vị máu trong suốt quá trình phẫu thuật để bù đắp lượng máu bị mất và kiểm soát tình trạng rối loạn đông máu”, bác sĩ Đức chia sẻ.
Cũng theo bác sĩ Đức để thực hiện ca mổ này, ê-kíp phẫu thuật Khoa Tim – Mạch máu, gây mê hồi sức khẩn trương chạy đua với thời gian để mau chóng bộc lộ đoạn động mạch chủ đã vỡ, kẹp cầm máu, khi tiếp cận phẫu trường “ngập máu” từ động mạch chủ đã vỡ. Toàn bộ quá trình này được thực hiện chỉ trong vòng 30 phút. Đây là khâu quan trọng nhất, nếu không kiểm soát kịp thời, bệnh nhân sẽ tử vong trên bàn mổ do mất máu.
“Hiện sau 1 tuần phẫu thuật, bệnh nhân đã đi lại được, ăn uống tốt, các chỉ số xét nghiệm máu, sinh hóa ổn định và chuẩn bị xuất viện”, bác sĩ Đức cho hay.
Theo bác sĩ Đức, phình động mạch chủ bụng là tình trạng động mạch bị giãn ra to hơn bình thường, thành mạch dần yếu, mỏng, có nguy cơ vỡ đột ngột dưới áp lực máu. Đây là động mạch lớn nhất trong cơ thể dẫn máu từ tim đến các cơ quan và các mô ở nửa phần dưới của cơ thể. Vỡ túi phình có thể làm người bệnh tử vong bất cứ lúc nào. Phần lớn các trường hợp phình động mạch chủ bụng không có biểu hiện về mặt lâm sàng. Khi phát hiện bệnh, người bệnh sẽ được chụp phim CT scan mạch máu để đánh giá hình thái và kích thước túi phình và được các bác sĩ chuyên khoa phẫu thuật mạch máu theo dõi, phẫu thuật khi túi phình có kích thước lớn.
“Đối với các bệnh nhân phình động mạch chủ bụng, khi có các dấu hiệu như đau bụng, ngất, da niêm nhạt… là các biểu hiện của vỡ túi phình, cần được ngay lập tức đưa đến bệnh viện để cấp cứu kịp thời”, bác sĩ Đức khuyến cáo.

