Hà Nội: Người đàn ông đột quỵ, máu trong não đóng thành khuôn
Nam bệnh nhân tiên lượng tử vong 100% do máu chảy vào trong não thất đóng bánh lại thành khuôn không thể dẫn lưu ra ngoài.
Hà Nội: Vì sao Chủ tịch quận Đống Đa xin nghỉ sau 9 tháng nhậm chức?
Hà Nội: "Bà hỏa" bất ngờ thiêu cháy 3 căn nhà ở phường Hàng Mã
Người đàn ông 67 tuổi ở Hà Nội thấy trong người hơi mệt, muốn đi nghỉ và dặn con cháu gọi dậy khi tới bữa cơm tối. Hai tiếng sau, khi người nhà gọi dậy, ông đã bất tỉnh.
Bệnh nhân được tuyến dưới chẩn đoán đột quỵ, chuyển đến Bệnh viện Trung ương Quân đội 108 trong tình trạng hôn mê sâu, gọi hỏi không đáp ứng, thở máy, tiên lượng đe doạ tử vong.
Tại Trung tâm Đột quỵ, bệnh nhân được điều trị bằng kỹ thuật dẫn lưu não thất mở kết hợp bơm thuốc tiêu sợi huyết. Đây là kỹ thuật mới được bệnh viện triển khai vài năm nay.

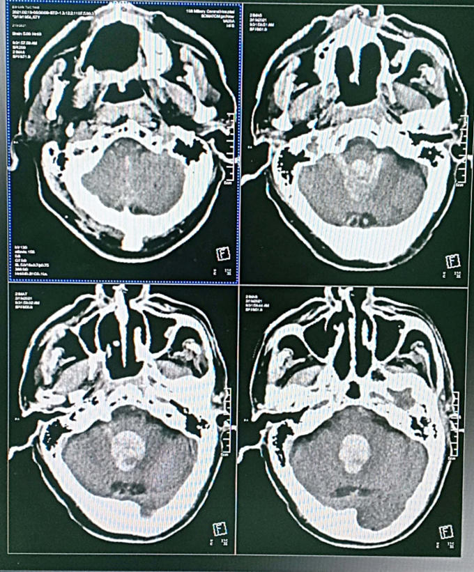
Hình ảnh máu tụ đóng thành khuôn trong não bệnh nhân. (Ảnh: vietnamnet)
Bác sĩ Nguyễn Thị Loan, Trung tâm Đột quỵ cho biết, trước đây những người bệnh chảy máu não thất lớn gây lụt hệ thống não thất như trường hợp này sẽ có tỷ lệ tử vong là 100%, do máu chảy vào trong não thất đóng bánh lại thành khuôn không thể dẫn lưu ra ngoài.
Với kỹ thuật mới, thuốc tiêu huyết khối được tiêm qua dẫn lưu vào não thất, làm tan khối máu đông. Máu sau đó sẽ theo dẫn lưu chảy ra ngoài, giúp tăng cơ hội cứu sống nhiều người bệnh chảy máu não thất nặng.

Bệnh nhân đang bước vào giai đoạn tập phục hồi chức năng. (Ảnh: vietnamnet)
Sau 3 tuần điều trị, hiện bệnh nhân đã tỉnh táo, tiếp xúc tốt, tự thở tốt, không liệt chân, tay, bước vào giai đoạn tập hồi phục chức năng.
Bác sĩ Loan đánh giá, tiên lượng điều trị của bệnh nhân này khá tốt, tỷ lệ phục hồi cao, tự đi lại được và trở về cuộc sống gần như bình thường sau tập luyện.

