Cứu sống nam thanh niên sau tai nạn giao thông... lộ tim ra ngoài
Vừa qua, Bệnh viện Đa khoa Quảng Ninh đã kích hoạt “ Báo động đỏ” cứu sống bệnh nhân tai nạn giao thông chấn thương lộ tim nguy kịch.
Quảng Ninh: Phẫn nộ cảnh nữ sinh bị bạn lột đồ giữa lớp học
Quảng Ninh: Bắt quả tang 7 đối tượng đang "bay lắc" trong quán karaoke
Điện lực Quảng Ninh phản hồi việc Điện cơ Hà Nội trúng nhiều gói thầu lớn nhưng tiết kiệm thấp!
Khởi tố tài xế gây tai nạn liên hoàn, làm 10 người thương vong ở Đắk Nông
Tài xế xe tải khai gì trong vụ tai nạn liên hoàn khiến 5 người tử vong ở Đắk Nông?
Bệnh nhân được cứu sống là Đ.V.B (28 tuổi) ở xã Vô Ngại, huyện Bình Liêu nhập viện trong tình trạng tai nạn giao thông đa chấn thương nguy kịch với vết thương hở vùng tim trào khí và máu, gãy xương đùi phức tạp.
Nguyên nhân của vụ tai nạn anh B. đi xe máy lúc nửa đêm, do tránh xe khác nên mất lái và ngã xuống vực. Lúc này trời mưa, đêm khuya, anh B. kêu cứu nhưng không ai biết. Sau đó, anh B. đã tự leo lên đường và được người dân phát hiện, đưa vào Trung tâm y tế Bình Liêu trong tình trạng toàn thân xây xát, vết thương vùng trước tim trào máu và khí, đùi trái biến dạng.
Sau khi sơ cứu ban đầu, bệnh nhân được chuyển lên Bệnh viện Đa khoa tỉnh Quảng Ninh để phẫu thuật cấp cứu xử trí tổn thương.
Nhận được thông tin, Ths.Bs Đặng Thị Thúy - Phó Giám đốc Bệnh viện nhanh chóng huy động kíp bác sĩ liên khoa Ngoại lồng ngực, Chấn thương chỉnh hình, Gây mê hồi sức chuẩn bị máy móc, thiết bị sẵn sàng ứng cứu. Bệnh viện lập tức kích hoạt quy trình “Báo động đỏ”.

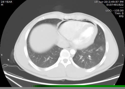
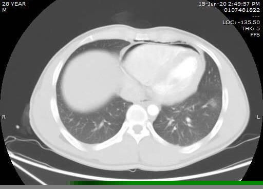
Hình ảnh chụp cắt lớp tràn khí và dịch khoang màng tim của bệnh nhân B.(ảnh BV.QN)
Kíp phẫu thuật ngoại lồng ngực cho biết, vết thương tại vùng ngực gãy nhiều xương sườn vùng trước tim. Quả tim lộ ra qua vết thương, trong màng tim có nhiều dịch đục lẫn máu đỏ. Phẫu thuật viên đã tiến hành bơm rửa làm sạch khoang màng tim, lấy các dị vật bẩn, cầm máu màng tim. Rất may cơ tim không bị tổn thương, tim đập tốt, bệnh nhân được dẫn lưu màng tim và đóng lại ngực.

Vết thương hở vùng ngực được kíp phẫu thuật xử trí ổn định (ảnh BV.QN)
Kíp chấn thương tiếp tục xử trí gãy xương đùi trái bằng kết hợp xương bằng nẹp vít và các tổn thương phần mềm. Ca cấp cứu diễn ra thành công thuận lợi sau 2 tiếng phẫu thuật. Sau mổ một ngày bệnh nhân đã tỉnh táo, sức khoẻ ổn định, nói chuyện và ăn uống nhẹ nhàng.
Anh B cho biết :“Sau cú ngã tưởng chừng trời đất sụp đổ, may thay tôi vẫn tỉnh để leo lên cầu cứu người giúp đỡ. Được các bác sĩ từ tuyến dưới đến tuyến trên cấp cứu kịp thời, tôi đã thoát khỏi “lưỡi hái tử thần”. Giờ mổ xong tôi thấy tỉnh và đỡ đau đớn hơn rất nhiều!”.

Sức khỏe bệnh nhân phục hồi ổn định sau phẫu thuật (ảnh BV.QN)
Ths.Bs Phạm việt Hùng – Trưởng khoa Ngoại, Bệnh viện Đa khoa tỉnh Quảng Ninh người trực tiếp phẫu thuật cho anh B cho biết : “Trường hợp của bệnh nhân B. bị ngã xuống vực sâu gần 30m với vết thương nặng ở ngực và gãy chân trái. Trong ranh giới giữa sự sống và cái chết, bệnh nhân đã vượt qua đau đớn, tự leo lên để nhờ sự trợ giúp của người đi đường thì thực sự đáng khâm phục. Khi tuyến dưới xin hội chẩn qua phim CT, chúng tôi nhận thấy cần được phẫu thuật xử trí gấp... May mắn là vết thương màng tim hở, máu thoát ra ngoài nên bệnh nhân không bị chèn ép tim, cơ tim không bị rách, nhờ vậy mà tăng thêm cơ hội sống khi tới viện ... Với nghị lực mạnh mẽ cùng sự phối hợp cấp cứu liên viện kịp thời mà bệnh nhân đa chấn thương kèm vết thương tim đã vượt qua cơn nguy kịch và phục hồi ổn định”.
Ths.Bs Phạm việt Hùng chia sẻ, đối với các ca tai nạn giao thông đều tiềm ẩn rất nguy cơ, cần phải được chẩn đoán sớm tránh ảnh hưởng đến tính mạng.
Điều này đòi hỏi đội ngũ bác sĩ đa chuyên khoa giàu kinh nghiệmvà sự phối hợp ăn ý giữa các kíp. Đặc biệt là việc triển khai hiệu quả, linh hoạt quy trình “báo động đỏ” giúp bệnh nhân được cứu chữa kịp thời tạo niềm tin của người dân về công tác khám, chữa bệnh .

