Căn bệnh nghệ sĩ Hán Văn Tình và ca sĩ Minh Thuận mắc phải nguy hiểm thế nào?
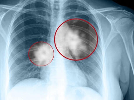
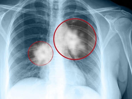
Bệnh ung thư phổi vô cùng nguy hiểm, có đến 70% người mắc bệnh ung thư phổi tử vong chỉ trong vòng 1 năm sau khi phát hiện.
Bệnh ung thư phổi nghệ sĩ Hán Văn Tình mắc phải nguy hiểm thế nào
Con trai sản phụ ung thư phổi giai đoạn cuối đã được xuất viện
Chiều nay, con trai sản phụ ung thư phổi giai đoạn cuối sẽ được xuất viện
Tin mới nhất về sức khỏe của con sản phụ ung thư phổi giai đoạn cuối
Con trai sản phụ ung thư phổi đã tự thở trực tiếp
Trong những ngày vừa qua, người hâm mộ cả nước liên tiếp phải đón nhận những tin buồn, đó là việc ca sĩ Minh Thuận đang nguy kịch vì mắc bệnh ung thư, liền sau đó là thông tin nghệ sĩ Hán Văn Tình đã qua đời sau nhiều ngày chống chọi với căn bệnh này.
Điều đáng nói là cả ca sĩ Minh Thuận và nghệ sĩ Hán Văn Tình đều mắc căn bệnh ung thư phổi . Quay ngược dòng thời gian về trước không ít nghệ sĩ, ca sĩ Việt Nam đã từng mắc và qua đời vì căn bệnh này, điển hình trong đó là nghệ sĩ Văn Hiệp.
Vậy, căn bệnh ung thư phổi nguy hiểm và có sức tàn phá như thế nào đối với cơ thể con người. Theo các chuyên gia về ung thư, ung thư phổi là một trong số những căn bệnh có tỷ lệ mắc nhiều nhất hiện nay đặc biệt là ở nam giới, độ tuổi mắc bệnh ung thư phổi nhiều nhất là từ 45-70 tuổi, tuy nhiên xu thế hiện nay đang ngày càng trẻ hóa.
BS Tạ Chi Phương – Trưởng khoa Xạ trị - Bệnh viện Ung bướu Hưng Việt cho rằng, tỷ lệ ung thư phổi đang gia tăng và chiếm tỷ lệ cao hàng đầu ở Việt Nam, nguy hiểm hơn căn bệnh tỷ lệ mắc ở cả nam và nữ là ngang nhau.
Điều đáng nói, căn bệnh ung thư này có tỷ lệ người mắc tử vong ngay trong năm đầu tiên phát hiện bệnh có tỷ lệ rất cao chiếm khoảng 70%, thậm chí có trường hợp từ khi mắc bệnh và tử vong chỉ trong vòng chưa đầy 6 tháng.
BS Phương cho rằng, ung thư phổi được chia làm hai loại, ung thư phổi không tế bào nhỏ và ung thư phổi tế bào nhỏ. Đối với ung thư phổi tế bào nhỏ, bệnh tiến triển rất nhanh, di căn sớm, tái phát nhanh, nhạy cảm với hóa chất.
“Có thể hình dung rằng, ung thư phổi tế bào nhỏ rất khó khăn trong việc điều trị, có thể nói nôm na là khi chặt được đầu nọ thì đầu kia nó đã phát triển rồi”, BS Phương chia sẻ.
Còn đối với ung thư phổi không tế bào nhỏ, bệnh tiến triển chậm hơn, đáp ứng được với hóa chất, loại ung thư này chiếm tỷ lệ khoảng 85 đến 87% tổng số ca.

Được biết, trước khi qua đời nghệ sĩ Hán Văn Tình là bệnh nhân đã được điều trị lâu ngày tại Bệnh viện Ung bướu Hưng Việt. Nghệ sĩ Hán Văn Tình bị ung thư phổi có đột biến gen và có chỉ định điều trị thuốc đích. Khi bệnh nhân đã ở giai đoạn 4, di căn màng phổi và sau đó tiếp tục di căn não và xương thì được các bác sĩ tiếp tục chỉ định điều trị kết hợp hóa chất và xạ trị.
Theo các bác sĩ, hiện nay điều trị ung thư phổi tại các bệnh viện áp dụng theo phác đồ tiêu chuẩn trên toàn thế giới. Cụ thể, bệnh nhân giai đoạn một và hai phải phẫu thuật cắt bỏ khối u. Giai đoạn 3 cần xạ trị. Giai đoạn 4 sẽ dùng thuốc để kiểm soát. Tuy nhiên một số người bệnh ở giai đoạn một hoặc hai đã điều trị bằng phẫu thuật mà vẫn bị tái phát, bác sĩ thường chỉ định bổ sung thêm hóa chất để giảm nguy cơ.
Đối với bệnh nhân giai đoạn 3 có khối u ở phổi và xuất hiện hạch, phương pháp điều trị chính là xạ trị nhưng hiệu quả chỉ đạt khoảng 5 đến 8%. Vì thế, các bác sĩ thường chỉ định truyền thêm hóa chất để tăng thêm hiệu quả lên khoảng 20%.
Bệnh nhân giai đoạn 4, khi ung thư di căn, việc điều trị chỉ dừng lại ở mục tiêu kiểm soát bệnh nhằm kéo dài thời gian sống càng lâu càng tốt. Hiện có nhiều loại thuốc điều trị trúng đích thế hệ mới đã được kiểm chứng giúp gia tăng thời lượng sống cho người bệnh.

