Bệnh sán dây lợn ở người: Hệ luỵ đáng sợ và cách phòng tránh
Bệnh lợn gạo có tên khoa học Cysticercus cellulosae là bệnh gây ra bởi ấu trùng sán dây lợn. Bệnh lợn gạo/ sán dây lợn phân bố ở nhiều nơi liên quan đến tập quán ăn uống thịt lợn hoặc thịt trâu bò chưa nấu chín với khoảng 100 triệu người nhiễm bệnh trên thế giới. Ngày 7/11, Viện Sốt rét - Ký sinh trùng - Côn trùng TP. HCM vừa phát hiện 108 người ở Bình Phước nhiễm ấu trùng sán dây lợn.
“Hết lao tâm khổ tứ” vì bệnh rối loạn tiêu hóa lâu năm
Cách người Nhật nói “không” với bệnh viêm đại tràng
Bệnh sán dây lợn: Nguy cơ mắc phải nhiều bệnh nếu nuốt phải trứng, nang ấu trùng
Một bệnh nhi tử vong do bệnh tay chân miệng
Bệnh viện Bạch Mai công bố kết quả gói thầu mua thuốc hơn 855 tỷ
Tin nên đọc





Ngày 7/11, ông Lê Thành Đồng, Viện trưởng Sốt rét - Ký sinh trùng - Côn trùng TP. HCM cho hay, trong số 904 mẫu máu được xét nghiệm của người dân tại huyện Bù Gia Mập, Bình Phước thì có đến 108 mẫu nhiễm ấu trùng sán dây lợn.
Ổ bệnh sán dây lợn (lợn gạo) được xác định từ những con lợn nuôi ở thôn Bù Gia Phúc 1, xã Phú Nghĩa, huyện Bù Gia Mập.

Viện trưởng Đồng cho biết thêm, tình trạng nhiễm bệnh rất cao, khả năng lây lan lớn do tập quán chăn nuôi lợn thả rông. Việc sinh hoạt, ăn uống của người dân địa bàn trên liên quan đến nhiễm bệnh từ thịt lợn chưa chế biến kĩ.
Qua đó cho thấy mức độ nguy hiểm và lây lan của bệnh sán dây lợn rất phức tạp.
Hình thể và một số đặc điểm của bệnh sán dây lợn
Hình thể lợn gạo là một bọc màu trắng đục (hay còn gọi là nang sán), bên trong có chứa đầu sán và chất dịch khi chúng cư trú tại các cơ quan.
Phân bố bệnh Cysticercus cellulosae rộng khắp mọi nơi, đặc biệt là những vùng chăn nuôi heo thiếu quản lý chặt chẽ chất thải từ heo và quá trình kiểm duyệt an toàn thực phẩm từ heo không đảm bảo.

Vì sao người mắc bệnh sán dây lợn?
Người mắc bệnh sán dậy lợn do 2 nguyên nhân chính: hoặc là ăn phải trứng của sán dây lợn từ phân người bị mắc sán lợn đào thải ra môi trường thông qua thực phẩm, rau, quả, nước bị nhiễm trứng sán lợn, nhất là ăn rau sống, uống nước chưa đun sôi hoặc ăn phải ấu trùng sán lợn do ăn thịt lợn bị nhiễm sán (lợn gạo) chưa nấu chín, còn sống (ăn tiết canh, nem chua, nem chạo…).
Khi đó Những đốt sán già, rụng ở ruột non theo nhu động ngược chiều lên dạ dày, dưới tác dụng của dịch vị, tại đây, trứng từ các đốt già được giải phóng ra và đi xuống tá tràng (có hàng nghìn ấu trùng thoát ra khỏi trứng) và chui qua thành ruột vào hệ tuần hoàn đi khắp cơ thể, vào các cơ, các mô, tổ chức não, cơ tim… phát triển thành nang ấu trùng sán.
Thông thường, sau 24-72 giờ kể từ khi ăn phải ấu trùng, ấu trùng sẽ cư trú ở các mô liên kết hoặc các cơ, sau 2 tháng, ấu trùng tạo thành một nang có vỏ bọc ngoài (kích thước 17-20x7-10 mm), còn được gọi là gạo lợn, trong nang gạo lợn có dịch màu trắng, mẩu đầu sán với 4 giác và 2 vòng móc.
Ấu trùng sán lợn có thể đi đến bất kỳ cơ quan nào trong cơ thể nhưng thường tập trung nhiều ở cơ, mắt, da và đặc biệt là não (chiếm 60-80% các trường hợp).

Hiện nay, Theo báo cáo từ các nhà khoa học đã phát hiện có ít nhất 51 tỉnh, thành có ca bệnh sán dây / ấu trùng sán lợn, tập trung tại các tỉnh Lai Châu, Lào Cai, Hà Giang, Sơn La, Yên Bái, Bắc Cạn, Phú Thọ, Vĩnh Phúc, Thái Nguyên, Lạng Sơn, Tuyên Quang, Hòa Bình, Hà Tây, Hà Nội, Bắc Ninh, Hưng Yên, Bắc Giang, Ninh Bình, Hà Nam, Nam Định, Thái Bình, Hải Dương, Hải Phòng, Quảng Ninh, Thanh Hóa, Nghệ An, Đà Nẵng, Quảng Nam, Quảng Ngãi, Bình Định, Phú Yên, Đăk Lăk, Khánh Hòa, Lâm Đồng, Bình Thuận, Đồng Nai, Bình Phước, Tây Ninh, Bình Dương, thành phố Hồ Chí Minh, Long An, Tiền Giang, Bến Tre, Trà Vinh, Vĩnh Long, Đồng Tháp, An Giang, Cần Thơ, Sóc Trăng, Cà Mau, Kiên Giang.
Dấu hiệu và hệ luỵ của bệnh sán dây lợn ở người
Người nhiễm bệnh sán lợn có thể có rất ít hoặc không có triệu chứng gì suốt trong nhiều năm liền. Ở da có các nang nhỏ bằng hạt đỗ đường kính khoảng từ 5 - 10mm, đôi khi lớn hơn, thường nổi ở mặt trong cánh tay nhưng có thể nổi ở bất kỳ vị trí nào và có tính cách đối xứng. Thường không đau, di động trên nền sâu, lặn dưới da.
Tuy nhiên khi ấu trùng gây bệnh lợn gạo cho người thì các triệu chứng thể hiện tùy thuộc vào cơ quan chúng gây bệnh như:
- Lợn gạo ở não: Nếu ấu trùng sán định cư tại não thì chúng có thể gây ra tăng áp lực nội sọ gây nhức đầu, động kinh cục bộ, suy giảm trí tuệ, yếu, liệt chi thậm chí có thể rối loạn tâm thần. Tất cả các triệu chứng trên ở mức độ nào còn tùy thuộc vào số lượng và vị trí định cư của ấu trùng sán trong não người.
- Lợn gạo ở mắt: Ấu trùng có thể định cư tại hốc mắt, mí mắt, kết mạc mắt hoặc trong mắt chúng có thể gây ra những rối loạn thị gác và tùy vào vị trí của ấu trùng định cư ở mắt.
- Lợn gạo ở trong tế bào cơ: ít có biểu hiện lâm sàng trừ khi với số lượng nhiều chúng có thể gây đau cơ và sau thời gian dài chúng sẽ bị vôi hóa ngay trong cơ, nơi chúng định cư.
- Lợn gạo ở dưới da: có thể thấy những nốt lổn nhổn có thể sờ thấy rõ, đôi khi chúng gây ngứa.
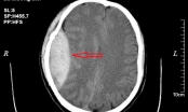
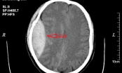
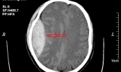
Để chẩn đoán bệnh sán lợn ở người, có thể chọc hút nang sán dưới da, xét nghiệm công thức máu, dịch não tủy (bạch cầu ái toan tăng), lấy máu làm phản ứng ELISA. Nếu có các biểu hiện thần kinh, cần chụp cắt lớp vi tính (CT), chụp cộng hưởng từ (MRI) não.
Nguyên tắc điều trị và cách phòng bệnh sán dây lợn
Nguyên tắc phải chẩn đoán sớm và điều trị kịp thời ngay khi phát hiện có đốt sán để tránh bị bệnh ấu trùng sán lợn. Việc điều trị bệnh ấu trùng sán dây lợn phải thực hiện ở cơ sở y tế với trang bị phương tiện cấp cứu và phải được theo dõi. Không nên điều trị bằng thuốc đông y, thuốc nam hoặc các thuốc cổ điển đối với bệnh sán dây lợn vì dể xảy ra biến chứng nguy hiểm.
Điều trị bệnh Cysticercus cellulosae nói chung ngoài các thuốc đặc hiệu là Albendazole và praziquantel cần phải điều trị kết hợp các triệu chứng, di chứng mà ấu trùng Toenia solium gây ra cho những cơ quan tổ chức khác nhau trong cơ thể. Trong trường hợp những nang sán ở những vị trí có thể can thiệp bằng phẫu thuật lấy nang sán thì tiến hành phẫu thuật.

Để chủ động phòng bệnh sán dây và ấu trùng sán dây lợn, Cục Y tế dự phòng, Bộ Y tế, khuyến cáo người dân:
- Không ăn thịt lợn, gan lợn hoặc thịt trâu bò chưa nấu chín như nem, thính, nem chua, tré, thịt lợn tái, gan tái, thịt trâu, bò tái; kết hợp với các ngành chức năng kiểm tra chặt chẽ các lò mổ lợn, trâu bò và loại bỏ các con vật mang ấu trùng sán; không ăn rau sống, không uống nước lã.
- Quản lý phân tươi, nhất là ở những vùng có người nhiễm sán dây lợn trưởng thành trong ruột. Sử dụng hố xí hợp vệ sinh, không nuôi lợn thả rông.
- Người có sán trưởng thành trong ruột phải được điều trị, không phóng uế bừa bãi.
- Quản lý chặt chẽ tiêu chuẩn vệ sinh các lò mổ lợn (heo).

