Hà Nội 23 °C
TP Hồ Chí Minh 29 °C
Hải Phòng 25 °C
Đà Nẵng 26 °C
Yên Bái 17 °C
  • Hà Nội Hà Nội 23°C
  • TP Hồ Chí Minh Hà Nội 29°C
  • Hải Phòng Hà Nội 25°C
  • Đà Nẵng Hà Nội 26°C
  • Yên Bái Hà Nội 17°C

Bé gái 2 tuổi liệt người lúc chơi đùa, bố mẹ sững sờ khi biết bệnh con mắc phải

Sức khỏe - đời sống
28/12/2018 18:56
Đức Duy/ Báo Tổ Quốc
aa
Khi đang chạy nhảy nô đùa, bé gái 2 tuổi đột nhiên nôn mửa, người tê liệt, co giật. Nhận kết quả chẩn đoán bệnh từ bác sĩ khiến bố mẹ bệnh nhi sững sờ vì lâu nay con vẫn phát triển bình thường.


Tin nên đọc

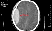
Bệnh viện Quốc tế City (TP HCM) vừa phẫu thuật thành công cho bé gái N.G.V (2 tuổi, quê Đà Nẵng) bị u mạch máu não thùy thái dương bằng hệ thống máy định vị 3D navigation kết hợp kính hiển vi.

Bác sĩ phẫu thuật cho bé gái
Bác sĩ phẫu thuật cho bé gái

Trước đó, bé được chuyển tới bệnh viện với chẩn đoán u mạch máu não thùy thái dương trái. Theo chia sẻ của chị L. - mẹ bé G.V, trước khi phát hiện khối u mạch máu não, bé sinh hoạt phát triển bình thường như bao trẻ khác. Khi đang chạy nhảy nô đùa, bé đột nhiên nôn mửa, người tê liệt, co giật.

Gia đình đưa vào bệnh viện tại Đà Nẵng cấp cứu. Kết quả chụp CT cho thấy, bé bị khối u ở mạch máu não. Sau đó, gia đình quyết định đưa bé vào TP HCM để phẫu thuật.

Sau khi kiểm tra lâm sàng, cận lâm sàng và điều trị viêm phổi ổn định, bé G.V được chỉ định phẫu thuật. Ê-kíp bác sĩ Khoa Ngoại thần kinh Bệnh viện Quốc tế City tiến hành phẫu thuật cho bé bằng công nghệ cao: sử dụng hệ thống máy định vị 3D navigation kết hợp kính hiển vi.

Trẻ mắc chứng u mạch máu não thì xuất hiện chứng đau đầu, nôn mửa
Trẻ mắc chứng u mạch máu não thì xuất hiện chứng đau đầu, nôn mửa

Đến 11h15 cùng ngày, ca phẫu thuật thành công, bé được chuyển về Khoa Chăm sóc tích cực để theo dõi hậu phẫu.

Bác sĩ cho hay, trường hợp trẻ mắc chứng u mạch máu não thì xuất hiện chứng đau đầu, nôn mửa. Đây là triệu chứng khá điển hình của u mạch máu não, song thường bị chẩn đoán nhầm là bệnh đường ruột và bệnh dạ dày.

"Khi có bất kỳ biểu hiện nào, cha mẹ cần đưa trẻ đến bệnh viện khám và điều trị kịp thời" – BS khuyến cáo.

bài liên quan
Dự kiến các trường không chuyên sẽ không được đào tạo bác sĩ, cử nhân luật

Dự kiến các trường không chuyên sẽ không được đào tạo bác sĩ, cử nhân luật

Phó Thủ tướng thường trực Nguyễn Hòa Bình cho biết, sắp tới các trường đại học đa ngành sẽ không được đào tạo bác sĩ và cử nhân luật để đảm bảo chất lượng nguồn nhân lực.
Yêu cầu Bệnh viện Việt Đức và Bạch Mai cơ sở 2 khẩn trương hoàn thiện hồ sơ thiết kế phòng cháy

Yêu cầu Bệnh viện Việt Đức và Bạch Mai cơ sở 2 khẩn trương hoàn thiện hồ sơ thiết kế phòng cháy

Văn phòng Chính phủ vừa có Thông báo số 637/TB-VPCP kết luận của Phó Thủ tướng Chính phủ Lê Thành Long tại chuyến kiểm tra, đôn đốc công trình Dự án đầu tư xây dựng Cơ sở 2 Bệnh viện Hữu nghị Việt Đức và Dự án đầu tư xây dựng Cơ sở 2 Bệnh viện Bạch Mai tại Ninh Bình.
Cảnh báo việc người dân lạm dụng kháng sinh không đúng cách

Cảnh báo việc người dân lạm dụng kháng sinh không đúng cách

Sở Y tế Hà Nội chỉ ra nguyên nhân dẫn đến tình trạng kháng thuốc là hiện nay, tình trạng lạm dụng và sử dụng kháng sinh không đúng cách đang diễn ra phổ biến như người dân tự ý mua kháng sinh khi chưa có đơn của bác sĩ; gừng thuốc khi mới thấy đỡ bệnh; dùng lại thuốc thừa hoặc chia sẻ thuốc cho người khác.
Bộ Y tế sẵn sàng thu dung cấp cứu cho nạn nhân vùng mưa lũ, tuyệt đối không để bùng phát dịch bệnh

Bộ Y tế sẵn sàng thu dung cấp cứu cho nạn nhân vùng mưa lũ, tuyệt đối không để bùng phát dịch bệnh

Bộ Y tế đề nghị báo cáo tình hình thiệt hại, nhu cầu, khả năng bảo đảm của địa phương và đề xuất hỗ trợ khi vượt quá khả năng (nếu có).
Bộ Y tế đưa ra khuyến cáo người dân không tự ý mua và sử dụng thuốc kháng virus cúm

Bộ Y tế đưa ra khuyến cáo người dân không tự ý mua và sử dụng thuốc kháng virus cúm

Bộ Y tế cũng đề nghị các đơn vị rà soát, đảm bảo đầy đủ hậu cần, kinh phí, thuốc, sinh phẩm, vật tư, hóa chất, trang thiết bị... sẵn sàng cho các tình huống dịch bệnh.
Phẫu thuật miễn phí cho trẻ em khuyết tật trên địa bàn tỉnh Phú Thọ

Phẫu thuật miễn phí cho trẻ em khuyết tật trên địa bàn tỉnh Phú Thọ

Từ ngày 24 - 28/11/2025, tại Bệnh viện Sản Nhi tỉnh Phú Thọ, Trung tâm II (Hội Cứu trợ trẻ em tàn tật Việt Nam), Sở Y tế, Quỹ Bảo trợ trẻ em tỉnh Phú Thọ và Bệnh viện Sản Nhi tỉnh Phú Thọ phối hợp tổ chức chương trình phẫu thuật miễn phí cho trẻ em khuyết tật trên địa bàn tỉnh.
Mới nhất
Đọc nhiều
'Concert Quốc gia' - nhịp đập của một Việt Nam

'Concert Quốc gia' - nhịp đập của một Việt Nam

Thành công của những concert gần đây cho thấy âm nhạc chính luận có thể vừa truyền cảm hứng, vừa kết nối cộng đồng.
Hoàn thiện thể chế, cơ chế, chính sách về công nghiệp văn hóa

Hoàn thiện thể chế, cơ chế, chính sách về công nghiệp văn hóa

Công nghiệp văn hóa đang trở thành một trong những động lực mới cho tăng trưởng kinh tế và tăng cường “sức mạnh mềm” quốc gia.
Cảnh giác với thủ đoạn lừa đảo chiếm đoạt tài sản liên quan đến hoạt động xuất nhập cảnh

Cảnh giác với thủ đoạn lừa đảo chiếm đoạt tài sản liên quan đến hoạt động xuất nhập cảnh

Phòng Quản lý xuất, nhập cảnh Công an tỉnh Bắc Ninh đưa ra cảnh báo, thời gian qua, lợi dụng nhu cầu xuất cảnh của người dân để du lịch thăm thân, thăm quan, làm việc…một số đối tượng đã sử dụng nhiều thủ đoạn liên quan đến hoạt động xuất nhập cảnh để lừa
Tin bài khác
Bức thư của Bác Hồ căn dặn 3 điều gửi tới Hội nghị cán bộ ngành Y tế tháng 2/1955

Bức thư của Bác Hồ căn dặn 3 điều gửi tới Hội nghị cán bộ ngành Y tế tháng 2/1955

Ngày 27/2/1955, nhân dịp tổ chức Hội nghị cán bộ Y tế, Bác Hồ đã gửi thư cho Hội nghị căn dặn ba điều.
Lễ hội Nguyên tiêu và Đêm thơ Việt Nam 2024: Vần xưa vang bóng – Điệu mới giao hòa

Lễ hội Nguyên tiêu và Đêm thơ Việt Nam 2024: Vần xưa vang bóng – Điệu mới giao hòa

Với người yêu thơ, đêm thơ Nguyên tiêu là một sự kiện quan trọng, một ngày lễ ý nghĩa, không thể thiếu mỗi dịp xuân về.
“Yêu thương con người trước khi trở thành bác sĩ”

“Yêu thương con người trước khi trở thành bác sĩ”

Bác sĩ (BS) Đỗ Doãn Bách - Bệnh viện Bạch Mai Hà Nội luôn tâm niệm, phải học cách yêu thương con người trước khi trở thành một BS, khi đó sẽ có vô vàn cách thức để cứu chữa người bệnh.
Nắng nóng ở TP Hồ Chí Minh ngày càng gay gắt

Nắng nóng ở TP Hồ Chí Minh ngày càng gay gắt

Sau vài ngày dịu bớt, nắng nóng tại TP Hồ Chí Minh và Nam Bộ đã quay trở lại với cường độ gay gắt và có xu hướng tăng cường độ.
"Ngôi nhà chung ngành Y chứa biết bao trái tim, khối óc nhân ái"

"Ngôi nhà chung ngành Y chứa biết bao trái tim, khối óc nhân ái"

Theo Bộ trưởng Bộ Y tế Đào Hồng Lan, ngôi nhà chung ngành Y chứa biết bao trái tim, khối óc nhân ái, tài năng, luôn tràn đầy nhiệt huyết, tận tâm vì nghề, cùng nhau hướng tới mục tiêu nâng cao sức khỏe người dân cả về thể chất và tinh thần; Viết tiếp những kỳ tích của nền y học nước nhà.
Hơn 400 món ăn ba miền tại Lễ hội văn hóa ẩm thực

Hơn 400 món ăn ba miền tại Lễ hội văn hóa ẩm thực

Lễ hội văn hóa ẩm thực, món ngon Saigontourist Group 2024 diễn ra trong 4 ngày, từ ngày 28 đến ngày 31-3 tại Khu Du lịch Văn Thánh, TP Hồ Chí Minh.
Khai mạc lễ hội Đền Cô Tân An

Khai mạc lễ hội Đền Cô Tân An

Sáng 26/2 (tức 17 tháng Giêng), UBND xã Tân An, huyện Văn Bàn tổ chức khai hội Đền Cô Tân An năm 2024.
TP Hồ Chí Minh khởi động Tháng Thanh niên 2024 với nhiều hoạt động sôi nổi

TP Hồ Chí Minh khởi động Tháng Thanh niên 2024 với nhiều hoạt động sôi nổi

Hơn 1.000 bạn trẻ TP Hồ Chí Minh tham gia các hoạt động ra quân Tháng Thanh niên 2024 chủ đề "Thanh niên xung kích tình nguyện vì cuộc sống cộng đồng".
Tri ân những "thiên thần áo trắng"

Tri ân những "thiên thần áo trắng"

Tối nay (26/2), tại Nhà hát Hồ Gươm (Hà Nội) sẽ diễn ra chương trình tôn vinh Thầy thuốc Việt Nam và trao giải cuộc thi viết "Sự hy sinh thầm lặng" lần VI.
Hơn 400 công ty dệt may tham gia triển lãm quốc tế tại TP Hồ Chí Minh

Hơn 400 công ty dệt may tham gia triển lãm quốc tế tại TP Hồ Chí Minh

Theo Cục Xúc tiến thương mại, việc hỗ trợ tìm đơn hàng mới cho doanh nghiệp dệt may là một trong những nỗ lực mà Chính phủ, Bộ ngành rất quyết tâm.
tong bi thu to lam lam viec voi 2 tinh an giang kien giang

Tổng Bí thư Tô Lâm làm việc với 2 tỉnh An Giang, Kiên Giang

Ngày 4/6, Tổng Bí thư Tô Lâm và Đoàn công tác Trung ương đã có buổi làm việc với Ban Thường vụ Tỉnh ủy Kiên Giang và Thường trực Tỉnh ủy An Giang về tình hình triển khai các nghị quyết, kết luận của Trung ương; công tác tổ chức bộ máy; quốc phòng, an ninh
tien giang dieu tra vu chu doanh nghiep gao nghi bi lua hon 420 ty dong

Tiền Giang: Điều tra vụ chủ doanh nghiệp gạo nghi bị lừa hơn 420 tỷ đồng

Công an tỉnh Tiền Giang đang tiến hành điều tra, làm rõ vụ một chủ doanh nghiệp kinh doanh lúa gạo nghi bị lừa đảo trên không gian mạng với số tiền trên 420 tỷ đồng.
quang ninh can canh xe tai cho dat chay ram rap suot ngay dem dan lo hong duong o nhiem

Quảng Ninh: Cận cảnh xe tải chở đất chạy rầm rập suốt ngày đêm, dân lo hỏng đường, ô nhiễm

Gần 1 tháng nay trên tuyến tỉnh lộ 337 và Quốc lộ 279 đoạn từ xã Thống Nhất đến cảng Làng Khánh (TP Hạ Long), thường xuyên xuất hiện hàng chục xe tải lớn chở đất chạy rầm rập suốt ngày đêm, cuốn theo bụi mù mịt.
trao quyet dinh bo nhiem thu truong bo tu phap nguyen thanh tu

Trao quyết định bổ nhiệm Thứ trưởng Bộ Tư pháp Nguyễn Thanh Tú

Chiều 17/3, Bộ Tư pháp tổ chức Hội nghị công bố quyết định của Thủ tướng Chính phủ về việc bổ nhiệm đồng chí Nguyễn Thanh Tú, Vụ trưởng Vụ Pháp luật Dân sự - Kinh tế giữ chức Thứ trưởng Bộ Tư pháp.
cong nhan tp phu quoc la do thi loai i truc thuoc tinh kien giang

Công nhận TP Phú Quốc là đô thị loại I trực thuộc tỉnh Kiên Giang

Ngày 21/1, Phó Thủ tướng Chính phủ Trần Hồng Hà vừa ký quyết định về việc công nhận TP Phú Quốc là đô thị loại I trực thuộc tỉnh Kiên Giang.